What is Zoom Whitening?
Zoom whitening is a popular and effective in-office teeth whitening procedure offered by dentists. It’s designed to significantly brighten your teeth in a single visit, making it a convenient option for those looking for quick and dramatic results. The procedure utilizes a professional-strength whitening gel, typically containing a high concentration of hydrogen peroxide, which is activated by a special light, often a blue LED light. This combination works to break down stains and discoloration on the surface of your teeth and within the enamel, leading to a noticeably whiter smile. Unlike over-the-counter whitening products, Zoom whitening is performed under the supervision of a dental professional, ensuring safety and optimizing results. This also allows for a more thorough assessment of your teeth and gums, ensuring the treatment is suitable for you.
How Zoom Whitening Works
The Zoom whitening process begins with a thorough dental examination and cleaning to ensure your teeth are healthy and ready for the procedure. The dentist will then isolate your teeth, protecting your gums and lips with a barrier. The whitening gel is carefully applied to the surface of your teeth. The special Zoom light is then positioned near your teeth to activate the gel. This light enhances the whitening effect by accelerating the breakdown of stains. The gel is typically left on your teeth for about 15 minutes, after which it is removed, and a fresh layer is applied. This process may be repeated up to three or four times during a single session, depending on the desired results and the condition of your teeth. The entire procedure usually takes about an hour to an hour and a half.
The Procedure Step by Step

The Zoom whitening procedure follows a specific series of steps to ensure both effectiveness and patient comfort. First, a comprehensive examination of the patient’s oral health is performed, and the teeth are cleaned to remove any surface debris. The dentist or dental hygienist will then place a cheek retractor to keep your mouth open and protect your lips. Next, a protective barrier is applied to your gums to shield them from the whitening gel. The whitening gel is carefully applied to the front surfaces of your teeth. The Zoom light is positioned to shine on the teeth, activating the gel. After a set time, usually around 15 minutes, the gel is removed, and the teeth are rinsed. This process can be repeated up to three or four times during the session. Finally, a fluoride treatment may be applied to reduce any potential sensitivity. The process is completed and the patient is advised on aftercare and maintenance.
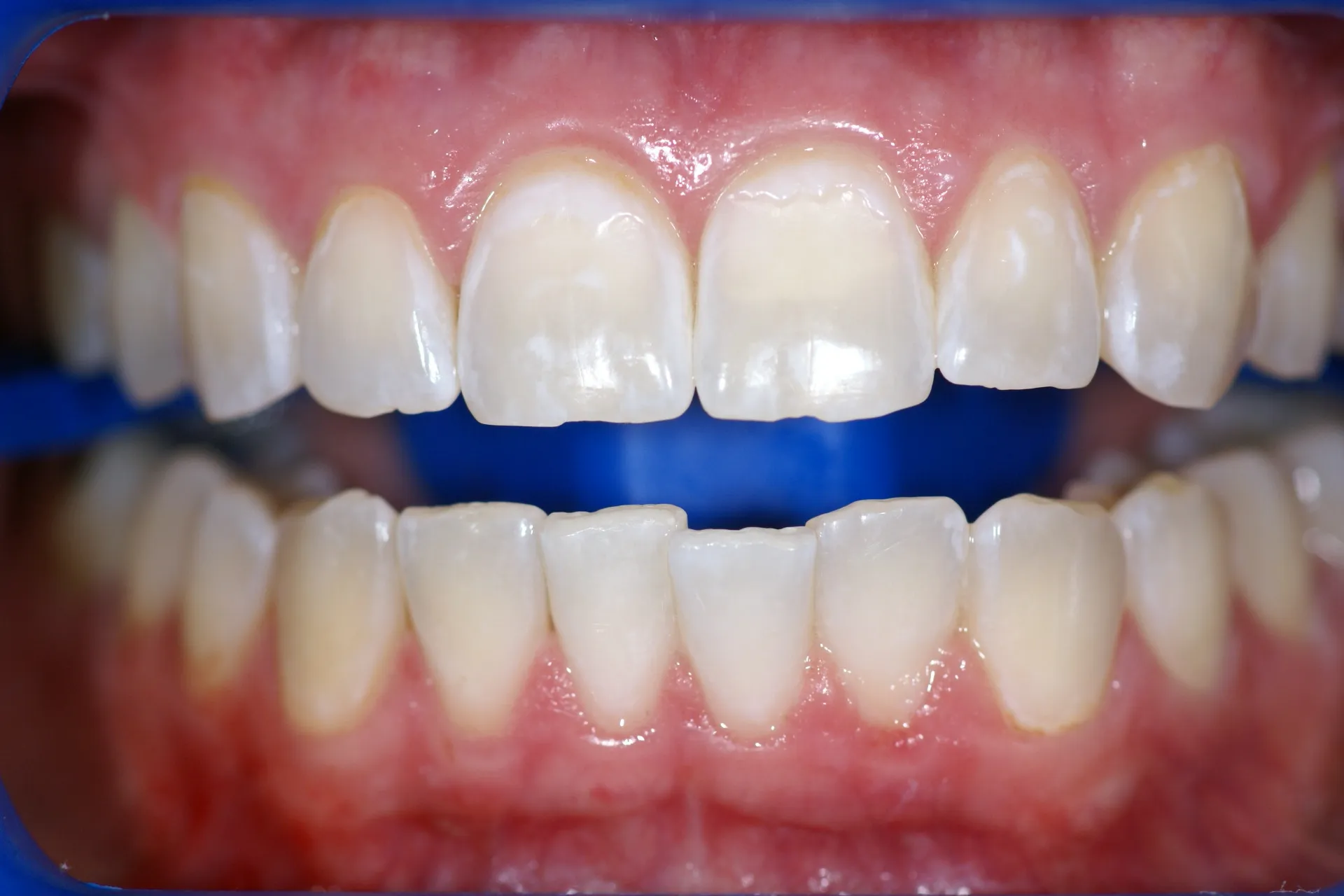
How Fast are the Results?
One of the major appeals of Zoom whitening is the speed at which it delivers results. Patients can often expect to see a significant improvement in the brightness of their teeth immediately after the procedure. In many cases, teeth can become several shades whiter in just one session. The exact number of shades depends on various factors, including the initial shade of your teeth and the severity of the staining. While individual results may vary, the immediate impact is one of the most attractive aspects of this treatment. The rapid whitening effect makes it a great option for people who want to quickly enhance their smile for a special event or simply boost their self-confidence. The results are usually quite noticeable after the very first session.
Factors Affecting Speed
Several factors can influence the speed and effectiveness of Zoom whitening. The natural shade of your teeth plays a significant role, with individuals who have naturally lighter teeth often experiencing more dramatic results. The type and extent of staining are also important; stains caused by coffee, tea, red wine, and tobacco are more likely to respond well to the treatment. The concentration of hydrogen peroxide in the whitening gel, as well as the duration of the light activation, can affect the whitening speed. Adherence to pre- and post-treatment care instructions from the dentist is another factor in how long the results last and how well it whitens. It’s essential to discuss your expectations and habits with your dentist for a realistic outcome.
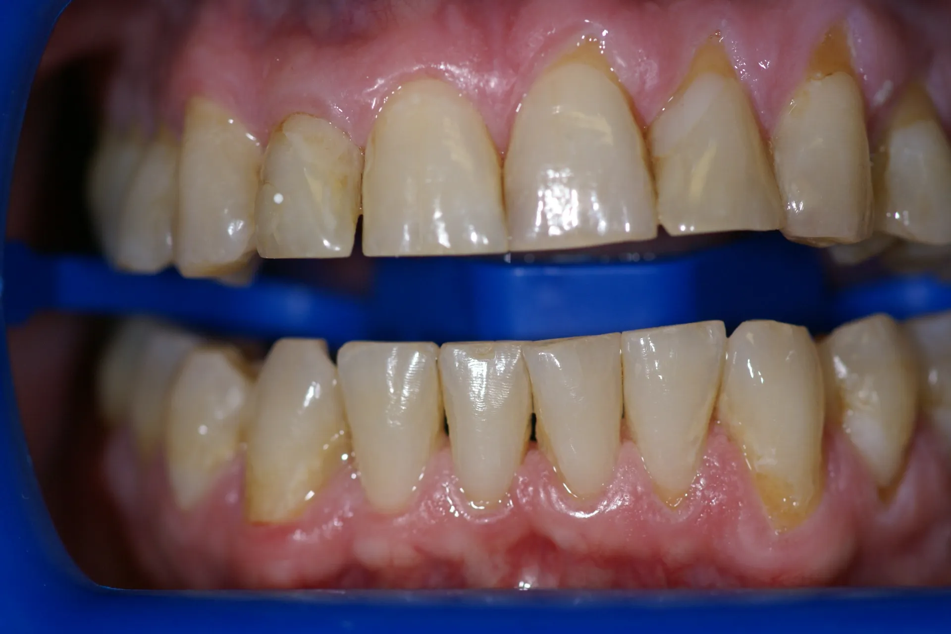
Tooth Shade and Staining

The starting shade of your teeth is a key factor in determining the final results of Zoom whitening. Individuals with darker or more heavily stained teeth might require more sessions to achieve their desired level of whiteness than those with naturally lighter teeth. The type of stains also makes a difference. Extrinsic stains, which are on the surface of the teeth and caused by things like coffee, tea, and tobacco, often respond very well to whitening treatments. Intrinsic stains, which are within the tooth structure and can be caused by aging, genetics, or certain medications, may be more challenging to remove. Your dentist will assess the type and severity of your stains to provide a realistic expectation of the results and to determine the most appropriate treatment plan.
Lifestyle and Habits
Your lifestyle and daily habits significantly impact the long-term success of your Zoom whitening results. Consuming staining foods and beverages, such as coffee, tea, red wine, and dark-colored berries, can gradually re-stain your teeth, diminishing the whitening effect. Smoking or using tobacco products is another major factor, as it can cause significant discoloration over time. Maintaining a diligent oral hygiene routine is critical, including brushing twice a day, flossing daily, and using a whitening toothpaste to help maintain your results. Regular dental check-ups and professional cleanings can help remove surface stains and keep your smile looking its best. Making conscious choices about your diet and habits can extend the longevity of your whiter smile. You should also avoid any habits that may damage the teeth or increase staining, like grinding your teeth.
What to Expect After Treatment
After a Zoom whitening procedure, it’s common to experience some temporary side effects. The most common is tooth sensitivity, which can range from mild to moderate. This usually subsides within a few days to a week. Following the procedure, you’ll be provided with specific aftercare instructions from your dentist. These typically include avoiding highly pigmented foods and beverages for the first 24-48 hours, such as coffee, tea, red wine, and dark sauces. You may also be advised to use a fluoride toothpaste or a desensitizing toothpaste to help reduce any sensitivity. It’s important to maintain good oral hygiene and to schedule regular check-ups with your dentist to maintain your results. It is very important to carefully follow post-treatment guidelines.
Managing Sensitivity

Tooth sensitivity is a common side effect following Zoom whitening, but it is usually temporary. There are several ways to manage this sensitivity. Using a toothpaste designed for sensitive teeth, which contains ingredients like potassium nitrate, can help to block pain signals and reduce discomfort. Avoiding very hot or cold foods and drinks for a few days after the procedure can also help. Over-the-counter pain relievers, such as ibuprofen or acetaminophen, can be taken to ease any pain. Your dentist may also recommend a fluoride treatment or a desensitizing gel to apply to your teeth. Be sure to follow all your dentist’s recommendations to minimize sensitivity. If the sensitivity is severe or prolonged, consult your dentist.
Maintaining Your White Smile
Maintaining the results of your Zoom whitening requires a proactive approach. Practicing good oral hygiene is essential, including brushing your teeth twice a day with a whitening toothpaste and flossing daily. Regular dental check-ups and professional cleanings can help remove surface stains and maintain your smile’s brightness. Limiting your consumption of staining foods and drinks, such as coffee, tea, red wine, and berries, will help to prevent discoloration. If you do consume these items, rinse your mouth with water immediately afterward. Consider using an at-home touch-up whitening system, such as custom-fitted trays or whitening strips, to maintain your results over time. Avoiding smoking and using tobacco products is critical. Be consistent with your home care and regular dental visits.
Tips for Long-Lasting Results
To maximize the longevity of your Zoom whitening results, follow these key tips. Reduce your intake of staining foods and beverages, or consume them in moderation. If you do consume staining items, drink through a straw to minimize contact with your teeth. Quit smoking and avoid tobacco products. Maintain an excellent oral hygiene routine, brushing, flossing, and using a whitening toothpaste. Schedule regular dental check-ups and professional cleanings to remove surface stains. Use an at-home whitening maintenance system as recommended by your dentist. Consider using a whitening mouthwash. Be careful not to over brush to protect the enamel. By following these guidelines, you can enjoy your brighter, whiter smile for a long time.
In conclusion, Zoom whitening is a fast and effective way to achieve a brighter smile. While the speed of results is a major advantage, understanding the factors that affect the whitening process, along with proper aftercare and maintenance, is crucial. By following the guidance provided by your dentist and adopting healthy habits, you can enjoy a beautiful, white smile for years to come.
