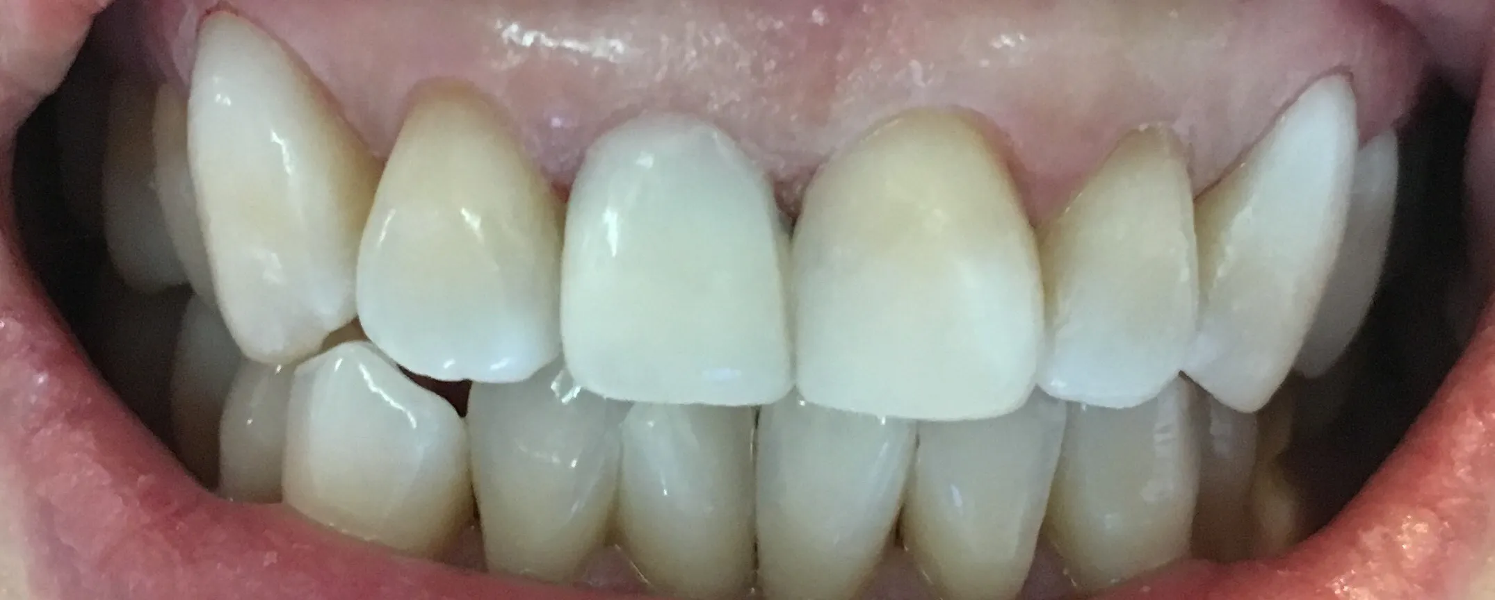
What are Whitening Veneers?
Whitening veneers represent a remarkable fusion of cosmetic dentistry and aesthetic enhancement, designed to transform smiles and boost confidence. These custom-made shells, typically crafted from porcelain, are meticulously bonded to the front surface of teeth. Unlike traditional teeth whitening procedures, which address surface stains, whitening veneers offer a comprehensive solution by altering the tooth’s appearance, color, and shape. This advanced treatment option is particularly effective for addressing discoloration, chips, cracks, and minor misalignments, providing patients with a dazzling, picture-perfect smile. The process involves a personalized approach, where dentists collaborate closely with patients to achieve their desired aesthetic outcomes, making whitening veneers a popular choice for those seeking a dramatic smile makeover.
The 7 Astonishing Benefits of Whitening Veneers
Whitening veneers offer a myriad of advantages that extend far beyond mere cosmetic enhancements, significantly impacting a patient’s quality of life. These benefits encompass both aesthetic and practical improvements, solidifying veneers’ status as a leading choice for smile transformations. From boosting self-esteem to providing long-term dental health advantages, the positive effects of whitening veneers are truly astonishing, leading to a newfound appreciation for one’s smile and overall well-being. The following sections will delve into the seven key benefits, exploring how whitening veneers can revolutionize your smile and your life.
Enhanced Smile Aesthetics

The primary and most immediately noticeable benefit of whitening veneers is the dramatic enhancement of smile aesthetics. Whitening veneers are custom designed to achieve the perfect shade, shape, and alignment, resulting in a naturally beautiful and harmonious smile. This personalized approach allows dentists to address various aesthetic concerns, such as discoloration, gaps, and uneven teeth, to create a unified and visually appealing appearance. The use of high-quality porcelain mimics the translucence of natural teeth, creating a realistic and dazzling smile that can significantly boost self-confidence and overall appearance. The transformation achieved through whitening veneers goes beyond mere whitening; it’s a complete smile makeover, contributing to a more youthful and vibrant look.
Increased Self-Confidence
A dazzling smile can significantly enhance a person’s self-esteem and confidence, and whitening veneers play a pivotal role in achieving this. A beautiful smile can positively influence social interactions, professional success, and overall mental well-being. When patients see a marked improvement in their smile’s appearance, they often feel more comfortable and confident in various social and professional settings. This newfound confidence can lead to increased participation in activities, improved communication skills, and a greater sense of self-worth. The psychological impact of a transformed smile is profound, often resulting in a more positive outlook on life and a willingness to embrace new opportunities.
Stain Resistance
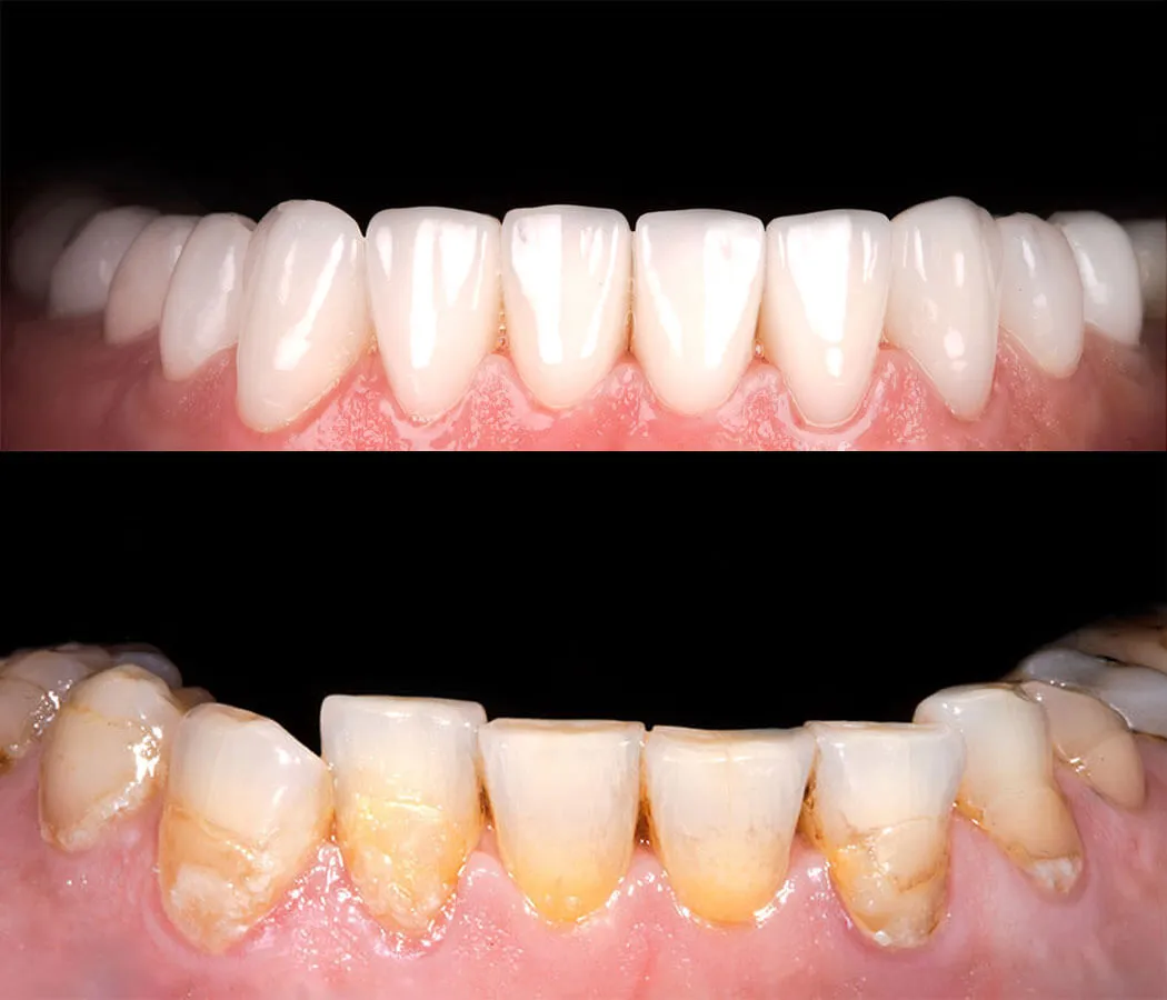
One of the significant advantages of whitening veneers is their inherent resistance to staining. Porcelain veneers are made from a smooth, non-porous material that is less susceptible to discoloration from common staining agents like coffee, tea, red wine, and tobacco. This means that the brilliant white shade achieved through veneers is likely to last longer compared to natural teeth, which can be easily stained over time. The stain resistance of veneers ensures that the investment in a brighter, more attractive smile is protected, allowing patients to maintain their dazzling appearance with minimal effort. Proper maintenance, including good oral hygiene and regular dental check-ups, further enhances the longevity of the veneers’ stain-resistant properties.
Durability and Longevity

Whitening veneers are renowned for their durability and longevity, making them a worthwhile investment for long-term smile enhancement. Constructed from strong, resilient porcelain, veneers can withstand the normal wear and tear of everyday use. With proper care and maintenance, including diligent oral hygiene practices and regular dental check-ups, veneers can last for many years, often a decade or more. This durability ensures that patients can enjoy their beautiful, bright smiles for an extended period, minimizing the need for frequent replacements. The long-lasting nature of veneers also contributes to their cost-effectiveness over time, as the initial investment is spread over a significant period of use.
Minimally Invasive Procedure
Compared to some other cosmetic dental procedures, the application of whitening veneers is often considered a minimally invasive process. The procedure typically involves only a small amount of enamel removal from the tooth’s surface to accommodate the veneer. This conservative approach helps to preserve the natural tooth structure, minimizing the impact on the underlying teeth. Modern dental techniques and materials have further refined the procedure, allowing for more precise and less invasive preparation methods. The minimally invasive nature of the procedure reduces discomfort during and after treatment, making it a comfortable and accessible option for many patients seeking to improve their smiles.
Natural Appearance
Whitening veneers are designed to mimic the appearance of natural teeth, ensuring a seamless and aesthetically pleasing result. High-quality porcelain veneers have the same translucence, light reflection, and texture as natural enamel, making them virtually indistinguishable from surrounding teeth. Dentists carefully select the shade and shape of the veneers to match the patient’s existing teeth, creating a harmonious and natural-looking smile. This attention to detail and focus on natural aesthetics ensures that the veneers enhance the patient’s smile without looking artificial. The ability of veneers to blend seamlessly with the existing teeth contributes to their popularity as a cosmetic dentistry solution.
Versatility in Treatment

Whitening veneers offer versatility in addressing a wide range of cosmetic dental issues, making them a versatile solution for smile makeovers. They can effectively address discoloration, chips, cracks, gaps, and minor misalignments, providing a comprehensive approach to smile enhancement. Veneers can also be used to reshape teeth, creating a more balanced and symmetrical appearance. This versatility makes veneers suitable for various patients with different aesthetic concerns, offering a customized solution to achieve their desired smile. The ability of veneers to address multiple issues simultaneously makes them a popular choice for patients seeking a complete transformation of their smile.
The Whitening Veneers Procedure
Understanding the whitening veneers procedure is essential for anyone considering this cosmetic treatment. The process typically involves several steps, each contributing to the final result a beautiful, bright smile. From the initial consultation to the final placement of the veneers, the dentist works closely with the patient to ensure the best possible outcome. Knowing what to expect during each stage can alleviate any anxiety and help patients feel more confident in their decision to undergo the procedure.
Consultation and Planning
The first step in the whitening veneers procedure is a comprehensive consultation with a qualified dentist. During this appointment, the dentist will assess the patient’s oral health, discuss their aesthetic goals, and evaluate their suitability for veneers. The dentist will take X-rays, examine the teeth, and take impressions to create a model of the patient’s mouth. The patient and dentist will collaborate to plan the procedure, including choosing the desired shade, shape, and size of the veneers. This initial consultation is crucial for setting realistic expectations and developing a customized treatment plan that meets the patient’s specific needs.
Preparation of Teeth

Once the treatment plan is finalized, the dentist will prepare the teeth for the veneers. This process typically involves removing a small amount of enamel from the front surface of the teeth to accommodate the thickness of the veneers. The amount of enamel removed is minimal, often less than a millimeter, and is carefully controlled to preserve the natural tooth structure. After preparing the teeth, the dentist will take new impressions, which will be sent to a dental laboratory where the custom-made veneers will be fabricated. In some cases, temporary veneers may be placed to protect the prepared teeth while the permanent veneers are being made.
Placement of Veneers
Once the custom-made veneers are ready, the patient will return for the final placement appointment. The dentist will first check the fit and appearance of the veneers, ensuring they meet the patient’s expectations. The teeth are then cleaned and etched to create a strong bond between the veneers and the natural teeth. The dentist will apply a special cement to the veneers and carefully position them onto the prepared teeth. Using a curing light, the dentist will harden the cement, permanently bonding the veneers in place. Finally, the dentist will remove any excess cement and make any necessary adjustments to ensure the veneers fit comfortably and align properly with the bite.
Post-Procedure Care and Maintenance
Proper care and maintenance are essential for preserving the beauty and longevity of whitening veneers. Following the dentist’s instructions and practicing good oral hygiene habits will help patients enjoy their enhanced smiles for years to come. This includes regular dental check-ups, avoiding staining foods and drinks, and protecting the veneers from damage. A proactive approach to post-procedure care ensures that the investment in a brighter, more confident smile yields lasting results.
Maintaining Your Bright Smile

To maintain the brilliance of your whitening veneers, it’s crucial to follow your dentist’s instructions and practice good oral hygiene. Brush your teeth gently twice a day with a non-abrasive toothpaste, and floss daily to remove plaque and debris. Regular dental check-ups and professional cleanings are essential to monitor the condition of your veneers and ensure the health of your gums. Avoid using harsh abrasive toothpaste or whitening products, as these can potentially damage the veneer’s surface. Protect your veneers from excessive force or pressure, such as chewing on hard objects or grinding your teeth.
Regular Dental Check-ups
Scheduling regular dental check-ups is a fundamental aspect of maintaining the health and longevity of your whitening veneers. During these appointments, your dentist will thoroughly examine your veneers, gums, and overall oral health. They will assess the condition of the veneers, check for any signs of wear or damage, and ensure that they are still properly bonded to your teeth. Regular professional cleanings help to remove plaque and tartar buildup, preventing gum disease and keeping your veneers looking their best. Your dentist can also provide personalized advice on how to care for your veneers and address any concerns you may have.
Avoiding Staining Foods and Drinks
While whitening veneers are stain-resistant, certain foods and beverages can potentially cause discoloration over time. To protect the brilliance of your veneers, it’s advisable to limit or avoid the consumption of staining agents such as coffee, tea, red wine, dark-colored sodas, and tobacco products. If you consume these items, rinse your mouth with water or brush your teeth shortly afterward to minimize the risk of staining. Following these dietary guidelines will help maintain the beautiful, bright appearance of your whitening veneers for years to come, preserving the investment in your smile.
Who is a Good Candidate for Whitening Veneers?

Whitening veneers are an excellent cosmetic dentistry solution, but they are not suitable for everyone. Determining candidacy involves a thorough assessment by a qualified dentist. Several factors influence suitability, and the best candidates typically possess specific characteristics and dental conditions that will allow them to benefit most from the procedure. Understanding the criteria for ideal candidates is essential to ensure a successful outcome and to help patients make an informed decision about whether whitening veneers are the right choice for them.
Individuals with Stained Teeth
Individuals with significant tooth discoloration are prime candidates for whitening veneers. This includes those with stains caused by aging, genetics, certain medications, or lifestyle choices such as smoking and excessive coffee or tea consumption. Veneers can effectively mask these stains, providing a bright, uniform smile that enhances aesthetics. The ability to correct severe discoloration makes veneers a popular option for those seeking a dramatic smile makeover, transforming dull or stained teeth into a dazzling, natural-looking smile.
Those Seeking a Smile Makeover
People who are looking for a comprehensive smile makeover often find whitening veneers to be an ideal solution. Veneers can address multiple cosmetic concerns simultaneously, including discoloration, chips, cracks, gaps, and minor misalignments. By combining the benefits of teeth whitening with the ability to reshape and improve the appearance of teeth, veneers offer a complete smile transformation. The versatility of veneers makes them a great option for individuals seeking a dramatic enhancement to their smile, boosting their confidence and overall appearance.
People with Minor Tooth Imperfections
Individuals with minor tooth imperfections, such as small chips, cracks, or slight misalignments, can greatly benefit from whitening veneers. Veneers can effectively conceal these imperfections, creating a smoother, more aesthetically pleasing smile. In cases where teeth are slightly crooked, veneers can provide a straighter appearance without the need for extensive orthodontic treatment. This makes veneers an appealing option for those seeking to enhance their smile with minimal invasiveness and a quick turnaround time. The ability to address minor imperfections contributes to the veneers’ versatility as a cosmetic dentistry solution.
Conclusion The Amazing World of Whitening Veneers
Whitening veneers offer an exceptional approach to achieving a dazzling, confident smile. The seven key benefits, from enhanced aesthetics to stain resistance, make them a compelling choice for individuals seeking a smile makeover. Understanding the procedure, post-care requirements, and ideal candidates ensures that patients can make informed decisions about whether veneers align with their goals. With proper care, whitening veneers can transform smiles and lives, creating a lasting impact on confidence and overall well-being. Embrace the world of whitening veneers and discover the transformative potential of a radiant, beautiful smile.
