What Are Dentist Whitening Trays
Dentist whitening trays are custom-made, clear, plastic mouthpieces designed to hold a professional-strength bleaching solution against your teeth. Unlike over-the-counter whitening products, these trays are specifically created to fit the unique contours of your teeth, ensuring optimal contact between the whitening agent and your enamel. This close fit minimizes the risk of the solution leaking and causing irritation to your gums. They’re a popular and effective method for achieving a brighter, more confident smile, offering a significant improvement over the results you can typically get with store-bought options. The process is usually completed at home, with guidance from your dentist, making it convenient and comfortable for patients seeking a noticeable change in their smile’s appearance. The effectiveness and safety are also key advantages of this procedure.
How Dentist Whitening Trays Work
The fundamental principle behind dentist whitening trays involves the application of a bleaching agent, typically containing carbamide peroxide or hydrogen peroxide, directly to the tooth surface. When this agent comes into contact with the enamel, it breaks down into oxygen molecules. These oxygen molecules then penetrate the enamel and dentin, the layers beneath the enamel, breaking down the stain molecules that cause discoloration. The custom fit of the trays ensures that the whitening solution is evenly distributed across the teeth, reaching all surfaces and crevices. This consistent contact is crucial for achieving uniform whitening and avoiding the patchy results that can sometimes occur with less precise methods. The process is usually done over a period of time, allowing for a gradual and controlled lightening of the teeth.
The Whitening Process

The whitening process is usually performed after a comprehensive examination of the patient’s oral health. The dentist checks for cavities, gum disease, or other issues that could affect the whitening process. Once the patient is cleared, the dentist makes impressions of the patient’s teeth, which are then used to create custom-fitted whitening trays. The patient is provided with the trays, the professional-strength whitening gel, and detailed instructions on how to use them. The patient then applies the gel to the trays and wears them for a specific amount of time each day or night, as directed by the dentist. Regular follow-up appointments may be scheduled to monitor progress and address any concerns.
Custom Trays vs. Pre-made Trays
Custom trays, as made by a dentist, are significantly superior to pre-made trays for several reasons. The custom fit ensures the whitening gel contacts all tooth surfaces, avoiding uneven whitening or missed spots. Pre-made trays, being one-size-fits-all, often fit poorly, which can lead to gel leakage and gum irritation. Furthermore, custom trays provide a more comfortable fit, making it easier to wear them for the recommended duration. The professional-strength whitening gel used with custom trays is also more effective than the over-the-counter alternatives typically used with pre-made trays. This combination of factors results in better, more consistent whitening results and a reduced risk of side effects. The investment in custom trays is well worth it for the improved outcome and safety profile.
Benefits of Dentist Whitening Trays
The benefits of choosing dentist whitening trays extend beyond simply achieving a brighter smile. They offer a level of personalization and professional care that over-the-counter products cannot match. Custom trays ensure even application of the whitening agent, leading to more uniform and predictable results. Your dentist can also monitor your progress and adjust the treatment as needed, minimizing the risk of side effects. The professional-strength whitening gel used by dentists is more potent than what is available over-the-counter, resulting in faster and more dramatic whitening. In addition to the aesthetic improvements, a brighter smile can boost self-confidence and improve overall well-being. Dentist-supervised whitening is a safe and effective way to enhance your smile and boost your self-esteem.
Professional Strength Whitening

Professional-strength whitening gels, available through dentists, contain a higher concentration of active bleaching agents, such as hydrogen peroxide or carbamide peroxide, compared to over-the-counter products. This higher concentration allows for faster and more effective whitening, often achieving noticeable results within a few weeks or even sooner. The dentist can also carefully control the concentration of the whitening agent based on the patient’s individual needs and sensitivity levels, minimizing the risk of side effects. The professional supervision ensures that the process is carried out safely and effectively, reducing the potential for damage to the teeth or gums. This level of control and effectiveness is a major advantage of professional whitening treatments.
Improved Results
Dentist-provided whitening trays consistently deliver superior results compared to at-home alternatives. Because the trays are custom-fitted, the whitening agent is applied evenly across all tooth surfaces, minimizing the risk of blotchy or uneven results. The higher concentration of the whitening agent, along with the professional guidance, results in a more dramatic and longer-lasting improvement in tooth shade. Furthermore, dentists can address and manage any sensitivity or other side effects that may arise, ensuring a comfortable and positive experience. Many patients experience a significant boost in confidence as they see the transformation in their smiles, making dentist-provided whitening trays a worthwhile investment.
How to Get Whitening Trays
The journey to a brighter smile with dentist-provided whitening trays begins with a visit to your dentist. During this initial consultation, your dentist will assess your oral health to determine if you are a suitable candidate for whitening. If you have any existing dental issues, such as cavities or gum disease, they will need to be addressed before proceeding. Once your mouth is deemed healthy, your dentist will take impressions of your teeth to create custom-fitted trays. You will then receive the trays, the whitening gel, and detailed instructions on how to use them. Regular follow-up appointments may be scheduled to monitor your progress and address any concerns. Following your dentist’s instructions diligently is key to achieving optimal results safely.
Consultation and Assessment

The initial consultation is a crucial step in the process. Your dentist will thoroughly examine your teeth and gums to assess your suitability for whitening. They will check for any existing dental work, such as fillings or crowns, which may not whiten in the same way as natural teeth. The dentist will also discuss your expectations and desired results, providing realistic expectations about what can be achieved. They may also take photos of your teeth to document your starting shade and track your progress. This consultation allows the dentist to tailor the whitening treatment to your specific needs and ensure the best possible outcome. They will also inform you about potential side effects and the importance of following instructions carefully.
Tray Fabrication and Fitting
After the initial consultation, the dentist will create custom whitening trays. This process typically involves taking impressions of your upper and lower teeth. These impressions are then sent to a dental lab, where technicians create the custom trays using a mold of your teeth. The trays are designed to fit snugly over your teeth, ensuring that the whitening gel makes even contact with the enamel. Once the trays are ready, you’ll return to the dentist’s office for a fitting. The dentist will check the fit of the trays and make any necessary adjustments to ensure comfort and effectiveness. You will then be given instructions on how to apply the whitening gel and how long to wear the trays.
Using Your Whitening Trays
Using your dentist-provided whitening trays effectively is key to achieving your desired results. Before applying the whitening gel, brush and floss your teeth to remove any plaque or food particles. Then, using the syringe provided by your dentist, carefully apply a small amount of the whitening gel into each tooth compartment of the tray. Be careful not to overfill the tray, as excess gel can leak out and irritate your gums. Insert the tray into your mouth, making sure it fits snugly over your teeth. Follow your dentist’s instructions regarding the wearing time, which can vary depending on the concentration of the gel and your desired results. After the recommended time, remove the tray and rinse your mouth with water.
Applying the Whitening Gel

The application of the whitening gel is a critical step. You should apply a small amount of gel into each compartment of the tray, ensuring it is evenly distributed. Avoid overfilling the tray, as excess gel can lead to gum irritation and discomfort. The amount of gel needed varies depending on the size of your teeth and the type of whitening agent. Your dentist will provide specific instructions. Once the gel is in place, carefully insert the tray into your mouth, making sure it fits snugly. Any gel that spills onto the gums should be gently wiped away with a clean tissue or cotton swab. Remember to wash your hands thoroughly after applying the gel and handling the trays.
Wearing Time and Frequency
The wearing time and frequency of the whitening trays are determined by your dentist, based on the concentration of the whitening gel and your individual needs. Typically, you might wear the trays for a specific period each day, ranging from 30 minutes to several hours, or even overnight. It is crucial to follow your dentist’s instructions precisely. Overuse can lead to increased tooth sensitivity and gum irritation, while underuse may not produce the desired results. The duration of the treatment typically lasts from a few weeks to a couple of months, depending on the initial shade of your teeth and the desired level of whitening. Regular check-ups with your dentist will help monitor your progress and make any necessary adjustments to your treatment plan.
Whitening Tray Maintenance
Proper maintenance of your whitening trays is essential for both the effectiveness of the treatment and your oral health. Cleaning your trays regularly removes any remaining gel residue and prevents the buildup of bacteria. Storing your trays correctly helps maintain their shape and prevents them from being damaged. Following these maintenance steps ensures the longevity of your trays and contributes to the overall success of your teeth whitening process. Consistent care and attention to your trays is a small effort that can lead to a significant payoff in the form of a brighter, healthier smile.
Cleaning Your Trays

Cleaning your whitening trays is a simple but vital part of the process. After each use, rinse your trays thoroughly with cool water to remove any remaining gel. You can gently brush them with a soft toothbrush and mild soap or a specialized tray cleaner, avoiding abrasive toothpaste which can scratch the plastic. Make sure to remove all residue and then rinse them again with cool water. Avoid using hot water, as it can warp the plastic. Properly cleaned trays not only prevent the buildup of bacteria but also maintain their clarity, ensuring optimal contact between the whitening gel and your teeth. Cleaning your trays after each use is a simple step to ensure the effectiveness and longevity of your whitening treatment.
Storage and Care
Proper storage of your whitening trays is essential to maintain their shape and effectiveness. After cleaning and drying the trays, store them in the protective case provided by your dentist. Keep the case in a cool, dry place, away from direct sunlight and heat. Avoid placing heavy objects on top of the case, as this could damage the trays. Following these simple storage guidelines will help prolong the life of your whitening trays and maintain their custom fit. When not in use, keeping them safely stored helps prevent them from being misplaced or damaged, ensuring they’re ready for your next whitening session. Always refer to your dentist’s specific instructions regarding storage and care.
Expected Results and Timeline
The timeline and the degree of whitening you can expect with dentist-provided trays depend on various factors, including the initial shade of your teeth, the concentration of the whitening agent, and your adherence to the dentist’s instructions. Typically, you can start to see noticeable results within a few weeks of consistent use. The maximum whitening potential is often achieved within a few months. Results can vary from person to person, but most patients experience a significant improvement in the brightness of their smiles. Maintenance treatments may be necessary to keep your teeth looking their best. Your dentist will monitor your progress and adjust the treatment plan as needed to ensure the best possible results.
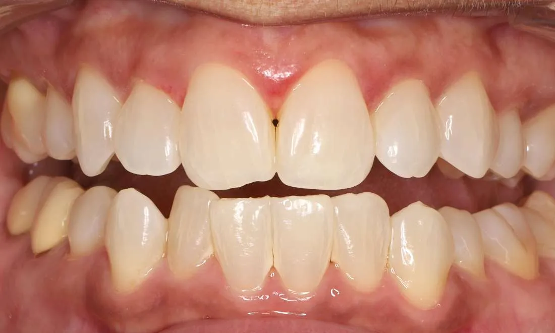
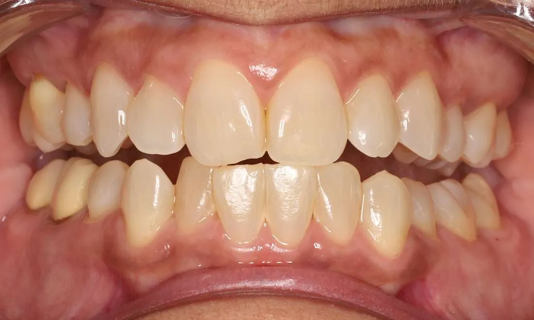
Before and After Examples

Before and after photos provide a visual representation of the transformative power of dentist whitening trays. These images showcase the dramatic improvement in tooth shade that is possible with professional whitening treatments. Patients often see a significant lightening of their teeth, with stains and discolorations fading away to reveal a brighter, more radiant smile. The before-and-after examples highlight the effectiveness of custom-fitted trays and professional-strength whitening agents. These photos are often a source of motivation and encouragement for patients undergoing the whitening process, demonstrating the potential for a truly remarkable smile transformation. The difference is often striking, providing a clear indication of the value of professional teeth whitening.
Factors Affecting Results
Several factors can influence the final results of your teeth whitening treatment. The initial shade of your teeth plays a significant role, with darker teeth generally taking longer to whiten than lighter shades. The type and severity of the stains also matter; stains caused by certain foods, beverages, and tobacco products can be more difficult to remove. The concentration of the whitening agent and the duration of treatment, as prescribed by your dentist, will impact the outcome. Following your dentist’s instructions carefully, including wearing the trays as directed and maintaining good oral hygiene, is crucial for achieving optimal results. Finally, lifestyle factors like smoking and consumption of staining foods and drinks can impact the longevity of the whitening effect.
Potential Side Effects
While dentist whitening trays are generally safe and effective, some potential side effects may occur. The most common side effects are tooth sensitivity and gum irritation. Tooth sensitivity can manifest as a temporary increase in sensitivity to hot or cold temperatures. Gum irritation may appear as redness or soreness along the gum line. These side effects are usually mild and temporary, resolving soon after the treatment is completed or the frequency of application is reduced. Your dentist can provide guidance on managing these side effects. Rarely, other side effects such as throat irritation or allergic reactions can occur; these should be reported to your dentist immediately. Overall, the benefits of dentist whitening trays often outweigh the potential side effects, especially with proper professional guidance.
Tooth Sensitivity

Tooth sensitivity is a common side effect of teeth whitening. The whitening agents can temporarily make the teeth more sensitive to temperature changes. This sensitivity typically subsides within a few days after the treatment or after reducing the frequency of use. Your dentist may recommend using a toothpaste designed for sensitive teeth, which can help to alleviate the discomfort. Avoiding extremely hot or cold foods and drinks during the treatment period can also help. If sensitivity becomes severe or prolonged, contact your dentist, as they may adjust your treatment plan or recommend other strategies to manage the issue. Tooth sensitivity is usually a temporary inconvenience and does not pose a long-term health risk.
Gum Irritation
Gum irritation is another potential side effect, often caused by the whitening gel coming into contact with the gum tissue. This can result in redness, soreness, or even blistering of the gums. Custom-fitted trays help minimize this risk by ensuring that the gel remains on the teeth. However, if irritation occurs, your dentist may recommend adjusting the amount of gel used or the wearing time. Rinsing your mouth thoroughly after each treatment session can also help to prevent irritation. Avoiding overfilling the trays and making sure the trays fit properly will also reduce the likelihood of gum irritation. The discomfort usually subsides within a few days after the treatment is stopped or modified.
