What is Ultradent Whitening An Overview
Ultradent whitening encompasses a range of professional teeth whitening products and procedures designed to lighten the shade of your teeth, enhancing your smile and boosting your confidence. It is a popular cosmetic dentistry treatment chosen by millions seeking to improve their appearance. Ultradent offers various options, from in-office treatments to take-home kits, all utilizing advanced formulas to effectively remove stains and discoloration. This guide aims to provide a comprehensive understanding of Ultradent whitening, covering its various aspects, from the causes of tooth discoloration to the different products and procedures available, as well as post-treatment care and maintenance. Whether you’re considering whitening for the first time or seeking to understand the latest advancements, this guide will equip you with the knowledge to make informed decisions about your dental health.
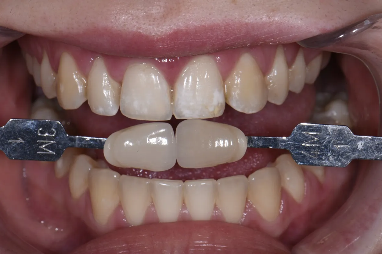
Understanding Tooth Discoloration Causes
Tooth discoloration can result from various factors, broadly categorized into external and internal stains. External stains are surface stains that affect the enamel, often caused by dietary habits, such as consuming dark-colored foods and beverages like coffee, tea, red wine, and berries. Smoking and tobacco use are also major contributors. Internal stains, on the other hand, originate from within the tooth structure, affecting the dentin beneath the enamel. These can be caused by aging, certain medications (such as tetracycline taken during tooth development), excessive fluoride exposure, or trauma to the tooth. Understanding the cause of your discoloration is crucial, as it influences the most appropriate whitening treatment. Consulting a dentist can help you identify the specific causes of your discoloration and determine the best course of action.
External Stains Causes & Treatments

External stains are primarily caused by the accumulation of pigmented molecules on the tooth’s surface. Foods and drinks rich in tannins, chromogens, and other color-rich compounds are the primary culprits. Regular consumption of coffee, tea, and red wine is a frequent cause, as these substances readily adhere to the enamel. Smoking and chewing tobacco introduces nicotine and tar, which stain the teeth. These stains can often be addressed effectively with professional teeth whitening treatments. Treatments include professional cleanings and the use of whitening agents containing hydrogen peroxide or carbamide peroxide, which break down the stain molecules. Home remedies, such as brushing with baking soda or using whitening toothpaste, can provide some improvement, but professional treatments typically yield more dramatic and lasting results. Dietary adjustments and improved oral hygiene can help prevent future staining.
Internal Stains Causes & Treatments
Internal stains pose a greater challenge, as they affect the deeper layers of the tooth structure. Tetracycline antibiotics, taken during tooth development, can cause significant discoloration. Excessive fluoride exposure during childhood can also lead to fluorosis, characterized by white or brown spots on the enamel. Aging naturally causes teeth to darken as the enamel thins, and the dentin becomes more yellow. Trauma to a tooth can damage the nerve, leading to internal bleeding and discoloration. Treatments for internal stains are more complex and may require more aggressive approaches. In-office whitening, using stronger concentrations of whitening agents, can sometimes lighten these stains. Other options include porcelain veneers or crowns, which completely cover the stained tooth and provide a natural-looking, long-lasting solution. The best approach depends on the severity and cause of the staining, so consultation with a dentist is critical.
Ultradent Whitening Products The Options
Ultradent offers a comprehensive range of whitening products designed to cater to diverse needs and preferences. These products are formulated with proven ingredients to safely and effectively brighten teeth. The primary active ingredient in most Ultradent whitening products is hydrogen peroxide or its derivative, carbamide peroxide, which penetrates the enamel and dentin to break down stain molecules. The choice of product depends on the individual’s needs, the severity of the discoloration, and the desired level of whitening. Ultradent’s product line includes both in-office and take-home options, allowing patients and dentists to choose the most suitable approach for achieving a brighter, more confident smile. Each product is designed to maximize effectiveness while minimizing the risk of sensitivity or other adverse effects.
Opalescence Boost In-Office Whitening

Opalescence Boost is a powerful, in-office whitening treatment that delivers dramatic results in a single visit. This treatment is ideal for individuals seeking immediate and significant teeth whitening. The procedure involves applying a high-concentration hydrogen peroxide gel directly to the teeth, which is then activated by a special light. This process breaks down stain molecules and lightens the teeth by several shades in about an hour. Opalescence Boost is a safe and effective way to achieve a dazzling smile transformation under the supervision of a dental professional. The dentist carefully monitors the process, ensuring patient comfort and minimizing any potential sensitivity. Results can vary depending on the initial shade of the teeth and the type of stains, but patients can generally expect a significant improvement in their teeth’s brightness. The immediate nature of this treatment makes it a popular choice for special occasions or those seeking rapid results.
Opalescence Go Take-Home Whitening
Opalescence Go is a convenient and user-friendly take-home whitening system. It provides a flexible and effective solution for individuals who prefer whitening their teeth in the comfort of their own homes. These pre-filled, disposable trays are designed to be worn for a short period each day, delivering noticeable results within a week to ten days. Opalescence Go is available in various concentrations of hydrogen peroxide, allowing for customized treatment based on individual sensitivity levels and desired outcomes. The trays are easy to use and fit comfortably, ensuring even coverage and effective whitening. This option is an excellent choice for maintaining a bright smile after an in-office treatment or for individuals who prefer a gradual whitening approach. The system is also suitable for touch-ups after a professional whitening treatment or as a standalone solution for mild to moderate staining.
Opalescence PF Custom Tray Whitening
Opalescence PF offers custom-tray whitening, which combines professional supervision with the convenience of at-home treatment. Your dentist creates custom-fitted trays that perfectly mold to your teeth, ensuring the whitening gel makes optimal contact with the tooth surfaces. The dentist provides the whitening gel with a concentration tailored to your needs and sensitivity. You wear the trays for a prescribed amount of time each day or night, following your dentist’s instructions. This method allows for more precise whitening and can deliver more significant results compared to over-the-counter options. The custom-fitted trays minimize gum irritation and ensure the whitening agent is distributed evenly. Regular check-ups with your dentist are typically scheduled to monitor progress and address any concerns. This approach balances effectiveness with professional guidance, making it a reliable choice for many patients seeking to improve their smile.
Ultradent Whitening Procedure Step-by-Step

The Ultradent whitening procedure varies depending on the chosen method, either in-office or take-home. In-office whitening begins with a thorough dental examination and cleaning to remove plaque and surface stains. The dentist then isolates the gums using a protective barrier to prevent irritation. The whitening gel is applied to the teeth, and a special light or laser may be used to activate the whitening agents. The gel is typically left on the teeth for a set amount of time, and the process may be repeated several times during the appointment. With take-home whitening, the process begins with a consultation and impression-taking for custom trays. The dentist provides instructions on how to apply the whitening gel and wear the trays. Follow-up appointments may be scheduled to monitor progress and make any necessary adjustments. Consistent use as directed is key to achieving the desired results, whether in-office or at-home.
Preparing for Your Whitening Treatment
Preparing for an Ultradent whitening treatment involves several important steps. Before any whitening procedure, it is essential to have a comprehensive dental examination to ensure your teeth and gums are healthy. Any existing dental issues, such as cavities or gum disease, must be addressed before whitening. This ensures the whitening treatment is safe and effective and prevents complications. You should also discuss your expectations and goals with your dentist to determine the most suitable whitening option for your needs. During the consultation, your dentist will assess the shade of your teeth and estimate the potential results. They will also provide information on the procedure, including potential side effects, such as tooth sensitivity, and aftercare instructions. Following these preparations, you can confidently move forward with your whitening treatment, knowing you have taken all the necessary precautions to ensure optimal outcomes and maintain your oral health.
The Whitening Process Explained
The Ultradent whitening process involves the application of a whitening agent, typically hydrogen peroxide or carbamide peroxide, to the surface of the teeth. These agents penetrate the enamel and dentin, breaking down the stain molecules that cause discoloration. The specific process varies depending on the chosen method. In-office treatments often involve a higher concentration of whitening agents and may include the use of a special light or laser to accelerate the whitening process. The dentist carefully controls the application and duration of the treatment. Take-home whitening uses custom-fitted trays filled with a lower concentration of the whitening agent. The trays are worn for a specified amount of time each day or night. The whitening agent diffuses into the teeth, gradually lightening the tooth shade over several days or weeks. The entire process is designed to safely and effectively remove stains and brighten the teeth, resulting in a more confident and attractive smile. The key is consistent application and adherence to the dentist’s instructions.
Post-Whitening Care and Maintenance

After undergoing Ultradent whitening, proper post-treatment care and maintenance are crucial for preserving your bright smile and maximizing the longevity of the results. Following your dentist’s instructions is paramount. Typically, this involves avoiding foods and beverages that can stain teeth for the first few days after the treatment. These include coffee, tea, red wine, dark sodas, and heavily pigmented foods like berries and curries. Maintaining excellent oral hygiene is also essential. Brushing your teeth at least twice a day with a whitening toothpaste, flossing daily, and using mouthwash can help remove surface stains and prevent new ones from forming. Regular dental check-ups and cleanings are vital for maintaining the results and addressing any emerging issues. Your dentist may recommend touch-up treatments or at-home maintenance products to keep your smile looking its best over time. Proper care ensures your investment in whitening yields lasting results.
Maintaining Your Bright Smile After Treatment
Maintaining your bright smile after an Ultradent whitening treatment requires ongoing attention to your dietary habits, oral hygiene, and lifestyle choices. Avoiding or limiting stain-causing foods and drinks is critical. If you consume these items, rinse your mouth with water immediately afterward or brush your teeth. Practicing excellent oral hygiene is the cornerstone of maintaining your results. Brushing your teeth twice a day with a whitening toothpaste, flossing daily, and using an antiseptic mouthwash can prevent the buildup of surface stains. Consider using a straw when drinking stain-causing beverages to minimize contact with your teeth. Regular dental check-ups and professional cleanings are essential for removing any accumulated stains and assessing your oral health. Touch-up whitening treatments, as recommended by your dentist, may be needed to maintain your desired level of brightness. A proactive approach to oral care ensures you can enjoy your brighter, more confident smile for an extended period.
Top Tips for a Lasting White Smile
Achieving a lasting white smile goes beyond the initial whitening treatment. A few top tips can help you keep your teeth bright and prevent future discoloration. First, maintain a consistent oral hygiene routine, brushing twice daily with whitening toothpaste and flossing daily. Second, be mindful of your diet and limit your intake of stain-causing foods and beverages. If you consume these items, rinse your mouth or brush your teeth afterward. Third, avoid smoking and tobacco products, as these are major contributors to tooth staining. Fourth, schedule regular dental check-ups and professional cleanings to remove any surface stains. Fifth, consider using at-home whitening touch-up treatments as recommended by your dentist to maintain your results. Sixth, drink plenty of water to keep your mouth hydrated and help wash away food particles. Seventh, use a straw when drinking dark-colored beverages to reduce contact with your teeth. By following these tips, you can maximize the longevity of your whitening results and enjoy a brighter, more confident smile for years to come.
Ultradent Whitening Benefits & Risks

Ultradent whitening offers numerous benefits, making it a popular choice for improving smile aesthetics. The primary benefit is a significantly brighter, more attractive smile. Whitening can boost self-confidence and create a more youthful appearance. Ultradent products are generally safe and effective when used as directed, delivering noticeable results with minimal risk. In-office whitening provides immediate results, ideal for special occasions, while take-home options offer convenience and flexibility. However, it is essential to be aware of potential risks. Tooth sensitivity is a common side effect, which is usually temporary and manageable. Gum irritation may occur if the whitening agent comes into contact with the soft tissues. In rare cases, more severe complications, such as damage to tooth enamel, may occur if the treatment is not administered correctly or if instructions are not followed. Understanding the benefits and risks allows individuals to make informed decisions and manage their expectations effectively. Consulting with a dentist ensures a safe and successful whitening experience.
Advantages of Ultradent Whitening
Ultradent whitening offers several significant advantages over other teeth whitening methods. The primary advantage is its effectiveness. Ultradent products are formulated with potent whitening agents that penetrate the enamel and dentin, effectively breaking down stain molecules and lightening teeth by several shades. The options include in-office treatments that deliver immediate results and take-home options for convenience and flexibility. Ultradent products are backed by extensive research and clinical trials, ensuring their safety and efficacy. They are designed to minimize sensitivity and maximize patient comfort. The availability of custom-fitted trays ensures that the whitening gel comes into optimal contact with the teeth, improving results and reducing the risk of gum irritation. Furthermore, Ultradent provides a range of products to suit individual needs, preferences, and budgets. The ability to consult with a dental professional throughout the process ensures personalized care and optimal outcomes. These advantages make Ultradent whitening a trusted and reliable choice for those seeking a brighter, more confident smile.
Potential Side Effects & How to Manage Them
While Ultradent whitening is generally safe, potential side effects can occur. Tooth sensitivity is the most common side effect, experienced by many patients during and after treatment. This sensitivity is usually temporary and resolves within a few days. Gum irritation is another possible side effect, which occurs if the whitening agent comes into contact with the soft tissues. This can result in redness, swelling, and discomfort. In rare cases, more severe complications may arise, such as damage to tooth enamel. The good news is that these side effects can usually be managed effectively. To minimize sensitivity, use a toothpaste designed for sensitive teeth and avoid hot or cold foods and drinks during and after treatment. Using custom-fitted trays and following your dentist’s instructions carefully can reduce the risk of gum irritation. Over-the-counter pain relievers can alleviate any discomfort. If side effects persist or worsen, consult your dentist for guidance. They may recommend adjustments to your treatment plan or provide additional support.
Ultradent Whitening Cost & Considerations

The cost of Ultradent whitening varies depending on several factors, including the type of treatment, the dentist’s fees, and the geographic location. In-office whitening treatments, like Opalescence Boost, typically cost more than take-home options, as they involve a dentist’s expertise and require specialized equipment. The number of sessions needed to achieve the desired results can also influence the overall cost. Take-home whitening kits, such as Opalescence Go, are generally more affordable but may require a longer treatment duration. Additional factors that can affect the cost include the initial examination, any necessary dental cleanings, and any follow-up appointments. It’s essential to discuss the cost with your dentist before starting any whitening treatment. While cost is an important consideration, it’s equally vital to prioritize the quality of the treatment and the expertise of the dental professional. Weighing the potential benefits against the cost helps you make an informed decision about whether Ultradent whitening is the right choice for you.
Factors Affecting the Cost
Several factors influence the cost of Ultradent whitening. The type of whitening treatment is a significant determinant. In-office procedures, which involve the dentist’s time and specialized equipment, tend to be more expensive than take-home options. The dentist’s fees, which vary based on their experience, location, and the complexity of the procedure, also play a role. The geographic location of the dental practice can impact the cost. Areas with a higher cost of living may have higher dental fees. The number of sessions needed to achieve the desired results can affect the overall price. If multiple in-office treatments are necessary or if a longer course of take-home whitening is required, the cost will increase. Any additional procedures, such as professional cleanings or the creation of custom-fitted trays, will also contribute to the overall cost. The materials used in the treatment can also influence the price. It’s essential to obtain a detailed quote from your dentist, including a breakdown of all associated costs, to understand the total expense.
Is Ultradent Whitening Right for You?
Determining whether Ultradent whitening is right for you involves considering several factors. Assess your current oral health. If you have any existing dental issues, such as cavities or gum disease, these must be addressed before undergoing whitening. Evaluate your expectations. Consider the degree of whitening you desire and the potential results. Discussing your goals with your dentist is essential to determine whether Ultradent whitening can meet them. Understand the potential risks and benefits. Be aware of the potential side effects, such as tooth sensitivity, and the advantages, such as a brighter, more confident smile. Evaluate your lifestyle. Take into account your dietary habits and your commitment to post-whitening care and maintenance. Consider your budget. Determine if the cost of Ultradent whitening fits your financial plan. Consult with a qualified dentist. A consultation allows you to receive a professional assessment of your teeth, discuss your options, and receive personalized recommendations. By carefully considering these factors and consulting with your dentist, you can make an informed decision about whether Ultradent whitening is the right choice for you and your smile goals.
Consulting with Your Dentist

Consulting with your dentist is a crucial step in determining if Ultradent whitening is suitable for you. During the consultation, your dentist will assess your oral health, including examining your teeth and gums for any existing conditions that may need to be addressed before whitening. They will evaluate the shade of your teeth and discuss your goals and expectations for whitening. The dentist will explain the various Ultradent whitening options available, such as in-office treatments and take-home kits, and recommend the best choice for your specific needs. They will also review the potential risks and benefits of each option, including potential side effects and post-treatment care instructions. The dentist will take any necessary impressions for custom-fitted trays if needed and address any questions or concerns you may have. This consultation provides you with the information you need to make an informed decision and ensure a safe and successful whitening experience. It’s an opportunity to build a trusted relationship with your dentist and create a personalized treatment plan that aligns with your goals for a brighter smile.
Alternatives to Ultradent Whitening
While Ultradent whitening is a popular and effective option, several alternatives exist. Over-the-counter whitening products, such as whitening toothpastes, strips, and gels, are readily available and offer a more budget-friendly approach. These products contain lower concentrations of whitening agents and may provide some improvement, though the results are typically less dramatic than professional treatments. Other options include cosmetic procedures like porcelain veneers or dental bonding. Veneers are thin shells that are custom-made to cover the front surface of your teeth, providing a completely new look. Dental bonding involves applying a tooth-colored resin to the teeth to improve their appearance. The best alternative depends on your specific needs, the severity of the discoloration, and your budget. Your dentist can help you assess the pros and cons of each option and recommend the most suitable alternative for achieving your desired smile. Consulting with a dental professional is essential to make an informed decision that aligns with your oral health needs and cosmetic goals.
