Teeth Whitening Temecula The Ultimate Guide
Welcome to your comprehensive guide to teeth whitening in Temecula. A bright, white smile is a valuable asset, boosting confidence and leaving a lasting impression. This guide provides everything you need to know, from understanding the causes of tooth discoloration to exploring the best teeth whitening options available in Temecula. Whether you’re considering professional treatments or at-home solutions, we’ll cover the essential tips and information to help you achieve and maintain a dazzling smile. This guide also includes practical advice on choosing a qualified dentist in Temecula, and aftercare practices to ensure your results last. Let’s embark on your journey to a brighter, more confident you with a beautifully white smile.
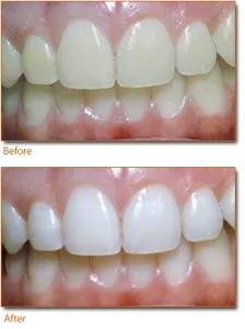
Understanding Teeth Whitening in Temecula
Teeth whitening is a popular cosmetic dental procedure designed to lighten the shade of your teeth. It involves removing stains and discoloration to reveal a brighter, more youthful smile. Temecula residents have access to various teeth whitening methods, from professional treatments at dental offices to convenient at-home kits. The effectiveness of each method can vary depending on the type and severity of the discoloration, as well as individual dental characteristics. A consultation with a Temecula dentist will help you determine the most suitable option for your specific needs and desired results. Understanding the process and the different approaches available is the first step toward achieving your perfect smile. This section will cover the basics of the procedure and the different types of teeth whitening treatments.
What Causes Tooth Discoloration

Tooth discoloration can stem from various factors, both internal and external. Intrinsic stains occur within the tooth structure, often due to factors like aging, certain medications (e.g., tetracycline), or excessive fluoride exposure during tooth development. Extrinsic stains affect the tooth surface and are primarily caused by external factors like food, drinks, and lifestyle habits. Identifying the cause of your discoloration is crucial for selecting the most effective whitening treatment. Understanding these causes will allow you to address the problem at its source and choose the most appropriate whitening solution to achieve the desired results and maintain a healthy, bright smile.
Common Causes of Staining
Many common substances can cause teeth staining. Coffee, tea, and red wine are notorious for their staining properties due to their dark pigments. Tobacco use, in any form, is another major culprit, leading to significant discoloration over time. Additionally, certain foods, such as berries, curries, and dark sauces, can contribute to stains. Consistent consumption of these items can gradually darken the teeth. Regular dental check-ups and professional cleanings can help mitigate these effects, and avoid the appearance of these stains. By understanding the primary causes of stains, you can make informed choices to protect your smile and reduce the need for frequent teeth whitening treatments.
Impact of Diet and Lifestyle
Your diet and lifestyle choices significantly influence the color of your teeth. Besides the direct impact of staining foods and drinks, overall health also plays a role. Poor oral hygiene, including inadequate brushing and flossing, can exacerbate staining. Smoking and tobacco use not only stain teeth but also contribute to other oral health problems, which can affect the appearance of your smile. A balanced diet rich in fruits and vegetables, coupled with regular oral hygiene, helps maintain a healthy, bright smile. For Temecula residents, being mindful of these factors is crucial for both the effectiveness of teeth whitening treatments and the long-term maintenance of a beautiful smile.
Top 5 Teeth Whitening Tips in Temecula

To help you achieve and maintain a dazzling smile in Temecula, here are five essential tips. These tips cover everything from choosing the right treatment to post-whitening care, providing a comprehensive approach to teeth whitening.
- Consult with a Temecula dentist for a personalized assessment and treatment plan. A professional evaluation helps determine the best whitening method based on your needs.
- Consider professional teeth whitening options. In-office treatments offer the most dramatic and immediate results, often using stronger bleaching agents under professional supervision.
- Explore at-home whitening kits. These are more affordable and convenient, but follow instructions carefully to avoid gum irritation and ensure effectiveness.
- Follow aftercare instructions diligently to maintain your results. This includes avoiding staining foods and drinks for a certain period after treatment.
- Prioritize regular oral hygiene and dental check-ups. Brushing, flossing, and routine dental cleanings are crucial for preventing stains and maintaining a healthy smile.
Consulting a Temecula Dentist
The first step in any teeth whitening journey should be a consultation with a qualified dentist in Temecula. A professional assessment helps determine the cause and severity of your discoloration and identify the most suitable treatment options. The dentist will also check for any underlying dental issues, like cavities or gum disease, that need addressing before whitening. This consultation ensures that the teeth whitening process is safe, effective, and tailored to your specific needs. Your dentist can also provide guidance on realistic expectations and aftercare instructions to maximize and prolong the whitening results. Finding a reputable dentist will improve the outcome of the procedure.
Professional Teeth Whitening Options
Professional teeth whitening offers the most dramatic results and is often the preferred choice for those seeking immediate and significant improvements. Temecula dentists provide in-office whitening treatments using potent bleaching agents. These treatments are performed under controlled conditions, ensuring both safety and effectiveness. The process typically involves applying a whitening gel to the teeth and activating it with a special light or laser. In-office whitening provides results in a single visit and is ideal for those looking for a quick and effective solution. Additionally, your dentist can offer custom-fitted trays for at-home maintenance, extending the life of your results. Compared to at-home kits, professional whitening is generally more powerful, providing faster and more noticeable outcomes. For those seeking optimal results, professional teeth whitening is the best choice.
At-Home Teeth Whitening

For those seeking a more convenient and budget-friendly option, at-home teeth whitening kits are a popular choice. These kits typically include whitening strips, trays, or gels. While less potent than professional treatments, at-home kits can still yield noticeable results, particularly for mild to moderate staining. It is very important to carefully follow the instructions to avoid potential side effects such as gum irritation or uneven whitening. Consulting your dentist before starting an at-home treatment can ensure it’s safe and effective for your teeth. They can also recommend and provide professional-grade at-home trays or products. The effectiveness of these kits varies, but with consistent use and proper adherence to the instructions, you can achieve a brighter smile from the comfort of your home.
Maintenance and Aftercare
Maintaining your newly whitened smile requires diligent aftercare. After any teeth whitening treatment, it’s crucial to avoid staining foods and drinks for at least the first 24-48 hours. These include coffee, tea, red wine, and deeply colored sauces. Additionally, continued good oral hygiene practices, like brushing twice a day and flossing daily, are essential. Consider using a whitening toothpaste and mouthwash to help maintain the brightness. Regular dental check-ups and professional cleanings are also essential for preventing stains and maintaining your results. By following these aftercare guidelines, you can extend the life of your teeth whitening treatment and enjoy a brighter smile for longer.
Maintaining a Bright Smile
Maintaining a bright smile requires a proactive approach. Regular dental cleanings are crucial to remove surface stains and plaque. A healthy diet, with limited intake of staining foods and drinks, will help prevent future discoloration. Use a whitening toothpaste and consider incorporating a whitening mouthwash into your daily routine. Avoid smoking and other tobacco products, as they are major contributors to tooth staining. Remember that consistency is critical, and even small changes can lead to a significant difference over time. Maintaining your bright smile requires consistent effort and following the guidance of your dentist.
Avoiding Staining Foods and Drinks

To protect your newly whitened teeth, it’s essential to limit consumption of staining foods and drinks. These include coffee, tea, red wine, and dark-colored sodas. Foods like berries, curries, and balsamic vinegar can also stain. If you do consume these items, rinse your mouth with water afterward or brush your teeth soon after. Being mindful of your dietary choices is crucial for maintaining a bright smile and maximizing the longevity of your teeth whitening treatment. These steps will help ensure your investment in teeth whitening yields lasting results. Make sure to make healthy choices and avoid these products.
Oral Hygiene Practices
Practicing good oral hygiene is essential for maintaining a bright smile. Brushing your teeth twice a day for two minutes each time is crucial for removing plaque and surface stains. Flossing daily is equally important for cleaning between your teeth and preventing build-up. Use a fluoride toothpaste and consider using a whitening toothpaste. Regular dental check-ups and professional cleanings are also vital for preventing stains and maintaining your oral health. Good oral hygiene habits not only enhance your smile’s appearance but also contribute to overall dental health. Make oral hygiene a regular and essential part of your daily routine for long-lasting results.
Finding a Dentist in Temecula
Choosing the right dentist is a critical step in your teeth whitening journey. Look for a dentist with experience in cosmetic dentistry and a good reputation in Temecula. Read online reviews and ask for recommendations from friends and family. Consider factors such as the dentist’s qualifications, the range of services offered, and the office environment. A consultation allows you to discuss your goals and expectations and build trust with the dentist. The right dentist will provide a comprehensive assessment, recommend the best treatment options, and guide you through the entire process, ensuring a safe, effective, and satisfying outcome. Making an informed choice is essential for the best possible results.
