What is Teeth Whitening San Rafael CA?
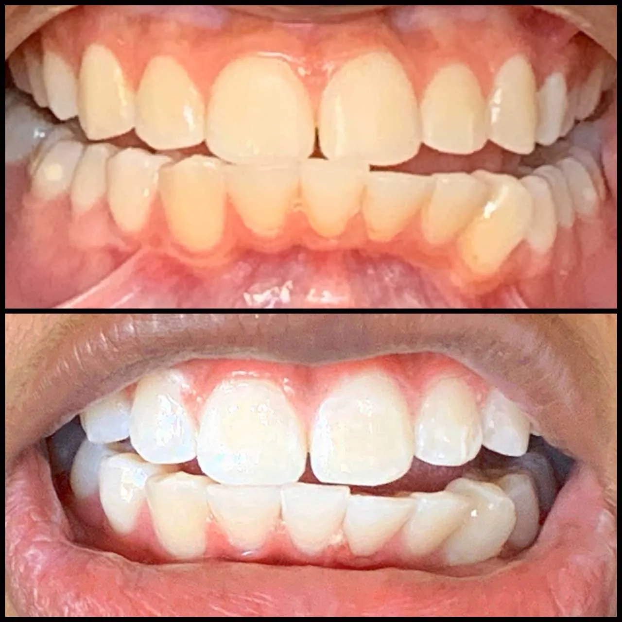
Teeth whitening in San Rafael, CA, is a popular cosmetic dental procedure designed to lighten the shade of your teeth. This process removes stains and discoloration, caused by various factors like aging, the consumption of staining foods and drinks, smoking, or certain medications. The goal is to achieve a brighter, more youthful smile. Numerous methods are available, ranging from professional treatments administered by dental professionals to over-the-counter products. The most effective and safest methods typically involve the supervision of a qualified dentist in San Rafael, CA, ensuring the procedure is tailored to your specific needs and oral health condition. Choosing a suitable whitening option depends on your budget, the severity of the discoloration, and your desired outcome.
Benefits of Teeth Whitening San Rafael CA
Teeth whitening offers numerous benefits beyond just a brighter smile. It’s a transformative treatment that can significantly boost your self-esteem and overall oral health. People often underestimate the power of a beautiful smile, but it’s a key element in social interactions and personal confidence. San Rafael CA residents who opt for teeth whitening treatments often experience a notable improvement in their self-image. Furthermore, the procedure itself can be a motivating factor for maintaining better oral hygiene practices. With a renewed focus on dental health, individuals are more likely to adopt habits that protect and preserve their investment in a brighter smile. The enhanced aesthetics contribute not only to personal satisfaction but also to a more positive outlook on life.
Boost Confidence with Teeth Whitening

One of the most significant benefits of teeth whitening in San Rafael CA is the positive impact on self-esteem. A bright, white smile can dramatically improve how you feel about yourself, leading to increased confidence in both personal and professional settings. When you’re proud of your smile, you’re more likely to smile more often, which can have a ripple effect on your interactions with others. This increased confidence can lead to a more outgoing personality and a greater willingness to engage in social situations. It’s a simple yet powerful way to enhance your self-perception and overall quality of life. Many individuals report feeling more comfortable in photographs and social events after undergoing teeth whitening, which positively impacts their daily lives.
Improved Oral Health
Teeth whitening procedures in San Rafael CA aren’t just about aesthetics; they often prompt a renewed commitment to oral hygiene. By seeking professional teeth whitening, individuals become more aware of their oral health and are more likely to adopt or improve their daily habits, like brushing, flossing, and regular dental check-ups. This heightened awareness can help in the early detection of any potential oral health problems, preventing them from escalating into more serious conditions. Regular dental visits following teeth whitening can ensure that your bright smile remains healthy and vibrant. The initial investment in teeth whitening can indirectly lead to long-term benefits, promoting better oral health and overall well-being. Proper oral hygiene is essential for maintaining the results of teeth whitening and safeguarding your smile’s longevity.
Eliminate Stain and Discoloration
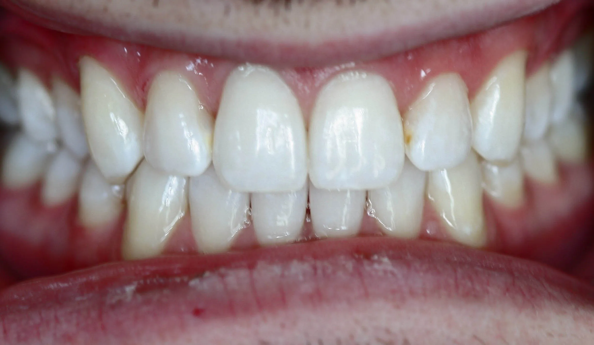
The primary goal of teeth whitening in San Rafael CA is to remove stains and discoloration that can accumulate over time. Stains can be caused by various factors, including the consumption of coffee, tea, red wine, and certain foods. Smoking and the use of tobacco products are also major contributors to tooth discoloration. Professional teeth whitening treatments utilize powerful bleaching agents that penetrate the enamel to break down the molecules causing the stains. This process restores the natural whiteness of your teeth, creating a brighter and more uniform appearance. The elimination of stains also contributes to a healthier mouth by reducing the buildup of bacteria and plaque, further enhancing the overall oral health of your teeth.
Top 5 Benefits of Teeth Whitening San Rafael CA

Enhanced Aesthetics
The most immediate and visible benefit of teeth whitening is the enhancement of your smile’s aesthetics. A brighter, whiter smile can dramatically improve your overall appearance, making you look more youthful and attractive. This aesthetic improvement is often a significant motivator for people seeking teeth whitening. Teeth whitening in San Rafael CA can rejuvenate your look, boost self-confidence, and improve your social interactions. The positive impact on appearance is often the first and most noticeable benefit, making the investment in teeth whitening a worthwhile one for many individuals. The aesthetic enhancement contributes significantly to the enhancement of your facial features.
Youthful Appearance
Teeth whitening contributes to a more youthful appearance. As we age, our teeth naturally darken due to thinning enamel and the accumulation of stains. By restoring the whiteness of your teeth, you can reverse this aging process, making you look years younger. A bright, white smile is often associated with youthfulness and vitality. Teeth whitening can provide a significant anti-aging effect, improving your appearance and overall self-perception. This youthful effect can have a positive impact on how others perceive you, enhancing both personal and professional interactions.
The Teeth Whitening San Rafael CA Procedure

The teeth whitening procedure in San Rafael CA, typically involves an initial consultation with a dentist to assess your oral health and determine the appropriate treatment. The dentist will examine your teeth and gums to ensure that you are a suitable candidate for the procedure. This also allows the dentist to identify any existing issues, such as cavities or gum disease, that need to be addressed before whitening. Professional teeth whitening often involves applying a high-concentration bleaching agent to the teeth, either in-office or with custom-fitted trays for at-home use. The bleaching agent works to break down the stains within the enamel. The procedure’s duration varies based on the chosen method and the desired results. It’s essential to adhere to all post-whitening instructions to ensure the longevity of the whitening effects.
Types of Teeth Whitening Treatments
Several types of teeth whitening treatments are available in San Rafael CA, each with its unique benefits. These options cater to varying needs and preferences, ensuring that everyone can find a suitable solution for achieving a brighter smile. It’s crucial to discuss these options with your dentist to determine the most appropriate treatment plan based on your oral health and the degree of discoloration. The available treatments range from professional in-office procedures to at-home kits and over-the-counter products. Understanding the differences between these options helps you make an informed decision and achieve the best possible results. Choosing the right treatment ensures effective stain removal and long-lasting results, ultimately enhancing your smile.
Professional Whitening Options
Professional teeth whitening options in San Rafael CA are typically administered by dental professionals, offering the most effective and controlled results. These treatments often involve stronger bleaching agents and specialized techniques that are not available in over-the-counter products. In-office whitening, a popular choice, provides immediate results under the supervision of a dentist. Take-home whitening kits, prescribed by your dentist, offer a more convenient option with custom-fitted trays for optimal whitening. Professional treatments are tailored to your individual needs and oral health, ensuring safe and effective results. Dental professionals closely monitor the process, reducing the risk of sensitivity and other potential side effects, and they can address any issues that might arise.
In-Office Whitening

In-office teeth whitening in San Rafael CA offers the fastest and most dramatic results. This procedure is performed in a dentist’s office, where a high-concentration bleaching agent is applied to your teeth. The dentist may also use a special light or laser to accelerate the whitening process. The entire procedure typically takes about an hour, and you can leave the office with a noticeably brighter smile. In-office whitening is ideal for those who want immediate results and are looking for a more supervised and controlled environment. It’s the perfect solution for special occasions or when you need a quick and significant improvement in your smile’s appearance. The professional setting ensures the safe application of the bleaching agents, minimizing the risk of gum irritation and other potential side effects.
Take-Home Whitening Kits
Take-home whitening kits, prescribed by a dentist in San Rafael CA, provide a convenient and effective way to whiten your teeth at home. These kits typically include custom-fitted trays and a lower-concentration bleaching agent, ensuring a comfortable and safe experience. Your dentist will take impressions of your teeth to create the custom trays, which fit perfectly and ensure even coverage of the bleaching agent. You’ll wear the trays for a specified amount of time each day, following your dentist’s instructions. Take-home kits offer a more gradual whitening process, allowing you to control the level of brightness achieved. This option is ideal for individuals who prefer a more flexible and convenient whitening solution and want to whiten their teeth in the comfort of their homes. Consistent use leads to a significantly brighter and healthier smile.
Over-the-Counter Whitening Products
Over-the-counter (OTC) whitening products are readily available in drugstores and online. These products include whitening toothpaste, strips, and mouthwashes, all designed to provide a degree of teeth whitening. While OTC products are convenient and more affordable, they usually contain lower concentrations of bleaching agents, leading to less dramatic results than professional treatments. They are suitable for minor stains and maintaining the brightness of your teeth after a professional whitening procedure. It is always best to consult with a dentist before using any OTC products to ensure they are appropriate for your oral health and to avoid potential issues. The effectiveness varies significantly, so it’s important to manage expectations and understand the limitations of OTC options. For noticeable results, professional whitening is generally recommended.
Maintaining Your Bright Smile

Maintaining a bright smile after teeth whitening in San Rafael CA requires some proactive measures and a commitment to good oral hygiene. The longevity of your results depends on the care you take after the procedure. Regular dental check-ups and cleanings are crucial for maintaining the health and appearance of your teeth. Following your dentist’s recommendations on post-whitening care will maximize the duration of your brighter smile. Additionally, certain lifestyle choices can significantly impact your results, so adopting habits that protect your teeth from staining will contribute to maintaining your enhanced smile for a longer period. A holistic approach to oral care is essential for long-term success.
Tips for Post-Whitening Care
Following your dentist’s post-whitening instructions is crucial for maintaining your bright smile in San Rafael CA. These instructions typically include avoiding stain-causing foods and drinks for the first few days after the procedure, as your teeth are more susceptible to staining during this period. Regular brushing and flossing, using a soft-bristled toothbrush and non-abrasive toothpaste, will help keep your teeth clean and bright. It’s essential to schedule regular dental check-ups and cleanings to monitor your oral health and remove any surface stains. Avoid smoking and tobacco products, as they are major contributors to tooth discoloration. Following these tips ensures the longevity of your whitening treatment and maintains the health of your teeth.
Avoid Stain-Causing Foods and Drinks
To maintain the results of your teeth whitening in San Rafael CA, it is advisable to avoid or minimize the consumption of foods and drinks known to stain teeth. This includes coffee, tea, red wine, and dark-colored sodas. Certain foods, like berries, soy sauce, and curries, can also contribute to staining. If you consume these items, rinse your mouth with water immediately afterward or brush your teeth as soon as possible. Limiting your intake of stain-causing substances is a significant step in preventing discoloration. Being mindful of your diet and making healthier choices will help to keep your teeth bright and healthy. Adhering to dietary guidelines will significantly extend the benefits of your teeth whitening treatment.
Good Oral Hygiene Practices

Practicing good oral hygiene is essential for preserving your bright smile and maintaining overall oral health after teeth whitening in San Rafael CA. Brushing your teeth at least twice a day with fluoride toothpaste and flossing daily removes plaque and food particles that can lead to stains and decay. Using mouthwash can further aid in cleaning your mouth and keeping your teeth and gums healthy. Regular dental check-ups and professional cleanings every six months are vital for removing any accumulated plaque and tartar, preventing staining, and addressing any potential oral health issues. A consistent oral hygiene routine will help ensure the longevity of your whitening results and contribute to a healthy and beautiful smile.
Choosing the Right Teeth Whitening in San Rafael CA
Choosing the right teeth whitening option in San Rafael CA depends on your individual needs, budget, and desired outcome. Considering professional teeth whitening is often the best choice for achieving significant and lasting results. Professional treatments offer stronger bleaching agents and the expertise of a dental professional, ensuring safe and effective results. Take-home whitening kits provide a convenient option with custom-fitted trays and dentist supervision. Over-the-counter products can be a budget-friendly option, but the results may be less dramatic, and it’s essential to manage your expectations. Consulting with your dentist is the most important step to determine the most suitable teeth whitening treatment for your unique situation.
Finding a Qualified Dentist
Finding a qualified and experienced dentist in San Rafael CA is critical for a successful teeth whitening experience. Look for a dentist with extensive experience in cosmetic dentistry and a positive reputation in the community. Reading online reviews, asking for referrals from friends and family, and checking the dentist’s credentials are all excellent ways to find a reliable professional. A qualified dentist will thoroughly assess your oral health, recommend the most appropriate treatment, and ensure the procedure is performed safely and effectively. They will also provide you with detailed instructions and guidance to maintain your bright smile. A trusted dentist will prioritize your oral health and offer personalized care.
Understanding the Costs Involved

Understanding the costs involved in teeth whitening in San Rafael CA is crucial for making an informed decision. The price of teeth whitening varies based on the type of treatment you choose, the dentist’s fees, and the complexity of your case. In-office whitening is generally more expensive than at-home options due to the specialized equipment and professional expertise required. Take-home whitening kits are typically more affordable, but the total cost can vary depending on the specific kit and the dentist’s fees. Over-the-counter products are the most budget-friendly, but the results are often less dramatic. It’s best to inquire about the full cost of treatment during your consultation, including any additional fees for exams or follow-up appointments. Some dental insurance plans may cover a portion of the costs if teeth whitening is deemed medically necessary.
Teeth Whitening San Rafael CA Risks and Considerations
While teeth whitening is a safe and effective procedure, it’s essential to be aware of potential risks and considerations. Understanding these aspects allows you to make an informed decision and to take appropriate precautions. Consulting with a qualified dentist in San Rafael CA is crucial for assessing your individual oral health and minimizing any potential adverse effects. Most complications are temporary and manageable, but being aware of them beforehand will help you prepare for the treatment and its aftercare. Your dentist can provide specific advice based on your situation and history, ensuring a safe and successful teeth whitening experience. Always prioritize your dental health by following your dentist’s instructions carefully.
Sensitivity and Discomfort
One of the most common side effects of teeth whitening in San Rafael CA is temporary tooth sensitivity. This sensitivity can range from mild to moderate and usually subsides within a few days after the procedure. The bleaching agents in teeth whitening products can cause the enamel pores to open, making your teeth more sensitive to temperature changes. Your dentist may recommend using toothpaste designed for sensitive teeth before and after the whitening treatment to help alleviate any discomfort. Avoiding very hot or cold foods and drinks for a few days following the procedure can also help minimize sensitivity. If the sensitivity persists or becomes severe, it’s essential to consult your dentist, as they can provide additional treatments or adjust your whitening plan accordingly.
Potential Side Effects
In addition to tooth sensitivity, other potential side effects of teeth whitening in San Rafael CA may occur, although they are rare. Gum irritation or inflammation is possible if the bleaching agent comes into contact with the gums. This is usually temporary and can be minimized by ensuring the whitening trays fit properly or by using protective measures during in-office treatments. Some individuals may experience minor throat irritation. In very rare cases, the bleaching agents can cause changes in the tooth structure. It is essential to discuss all potential side effects with your dentist before undergoing the procedure, ensuring that you are fully informed and prepared. Consulting with your dentist will also help you receive appropriate care to minimize any potential issues.
