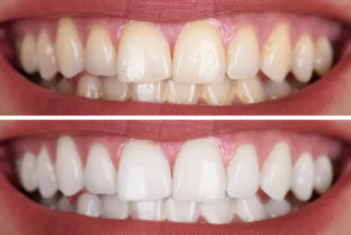
Top 5 Benefits of Teeth Whitening in North Las Vegas
Are you considering teeth whitening in North Las Vegas? You’re not alone. A brighter smile can significantly boost your confidence and overall well-being. Numerous individuals in North Las Vegas are seeking effective ways to enhance their smiles, and teeth whitening has become a popular and accessible solution. This article explores the top 5 benefits of teeth whitening, highlighting why it’s a worthwhile investment for your oral health and self-esteem. From boosting confidence to improving oral health and providing a more youthful appearance, teeth whitening offers a multitude of advantages. Discover how this cosmetic procedure can transform your smile and positively impact your life, all within the context of North Las Vegas and its available dental services. Let’s delve into the advantages of teeth whitening and see if it’s right for you. This guide will help you understand the benefits, explore different methods, and make an informed decision about achieving a brighter, more confident smile.
Boost Your Confidence with a Brighter Smile
One of the most immediate and impactful benefits of teeth whitening is the significant boost in confidence it provides. A bright, white smile can dramatically improve your self-esteem, making you feel more comfortable and self-assured in social situations. Imagine walking into a room with a radiant smile that lights up your face. This can translate into a more positive self-image and increased confidence in both personal and professional settings. For residents of North Las Vegas, this can be particularly beneficial in a community where appearances often play a significant role. The psychological impact of a whiter smile is undeniable, and it can lead to a more outgoing and positive outlook on life. Feeling good about your smile can make you feel more approachable, friendly, and ready to take on the world with a newfound sense of self-assurance. A confident smile can open doors to new opportunities and enhance your overall quality of life.
The Psychology of a White Smile

The psychology behind a white smile is fascinating. It’s often associated with youth, health, and vitality. A brighter smile can subconsciously signal to others that you take care of yourself, making a positive first impression. This can lead to better social interactions and even influence professional success. In North Las Vegas, where appearances can be important, a white smile can be a valuable asset. When you smile, endorphins are released, which have mood-boosting effects, further enhancing your self-esteem. The positive feedback you receive from others reinforces this feeling, creating a virtuous cycle of confidence and happiness. A white smile projects an image of confidence and approachability. As a result, you’re more likely to engage in social situations and form meaningful connections with others. It’s not just about aesthetics; a brighter smile can have a profound impact on your mental and emotional well-being.
How Teeth Whitening Enhances Self-Esteem
Teeth whitening directly enhances self-esteem by addressing a common concern: the appearance of stained or discolored teeth. When you’re self-conscious about your smile, it can affect your willingness to laugh, speak, or engage in social activities. Teeth whitening provides a solution that allows you to overcome these insecurities. The process of whitening your teeth is relatively quick and painless, often providing immediate results. This instant gratification can lead to a noticeable improvement in how you feel about yourself. After the procedure, you’re more likely to smile more frequently, leading to increased positive interactions and a stronger sense of self-worth. For those in North Las Vegas, where image consciousness may be higher, this can be particularly important. It empowers you to present the best version of yourself, ultimately boosting your confidence and overall well-being. The positive transformation associated with teeth whitening often leads to a renewed sense of self-assurance.
Improved Oral Health
While primarily a cosmetic procedure, teeth whitening can indirectly contribute to improved oral health. When you invest in whitening your teeth, you’re often more motivated to maintain good oral hygiene practices. This can lead to a greater focus on regular brushing, flossing, and dental check-ups, which are crucial for preventing dental problems. Additionally, some teeth whitening treatments include ingredients that can help to strengthen enamel and reduce the risk of cavities. Although whitening does not replace regular dental care, it can be a catalyst for better habits. In North Las Vegas, where access to dental care is readily available, teeth whitening can be combined with routine check-ups to ensure the best possible oral health. By making teeth whitening a part of your overall oral hygiene routine, you can experience both aesthetic and health benefits.
The Link Between Whitening and Dental Hygiene

The link between teeth whitening and dental hygiene is significant. The process of whitening your teeth often encourages a renewed commitment to maintaining a healthy smile. This includes more diligent brushing, flossing, and regular visits to your dentist in North Las Vegas. Brushing and flossing remove plaque and bacteria, which can prevent the discoloration that teeth whitening addresses. By investing in teeth whitening, you’re more likely to be proactive about your oral health. Improved dental hygiene can prevent future staining and discoloration, prolonging the effects of the whitening treatment. Moreover, regular dental check-ups are essential for identifying and addressing any underlying issues that could affect your teeth’s appearance. For instance, your dentist may recommend professional cleaning to remove surface stains before the whitening process begins. This combined approach ensures that you not only have a brighter smile but also healthier teeth and gums. As a result, teeth whitening can serve as a starting point for establishing better oral hygiene habits.
Preventing Stains and Discoloration
Preventing stains and discoloration is an essential part of maintaining a bright smile after teeth whitening. Avoiding certain foods and beverages that stain teeth, such as coffee, tea, red wine, and berries, can help to prolong the effects of the treatment. Regular brushing and flossing are critical to removing surface stains and preventing the buildup of plaque and tartar. Additionally, using a whitening toothpaste or mouthwash can help to maintain the brightness of your teeth. Regular dental check-ups are also essential for professional cleaning and addressing any emerging issues. In North Las Vegas, dentists can provide guidance on the best products and practices to keep your teeth white and healthy. By adopting these preventative measures, you can protect your investment in teeth whitening and enjoy a vibrant smile for years to come. The key is to be proactive in your oral hygiene routine, making it a daily habit.
Youthful Appearance
Teeth whitening can significantly contribute to a more youthful appearance. Stained or discolored teeth can make you look older, while a bright, white smile can have an anti-aging effect. The process of whitening your teeth can make you look more vibrant and refreshed. In North Las Vegas, where appearances often influence social interactions, this aspect can be especially appealing. A youthful appearance can also boost your self-esteem and make you feel more confident in your daily life. The effect of teeth whitening is often immediate, providing an instant transformation that can help you look and feel younger. The combination of a brighter smile and improved self-confidence creates a positive feedback loop, contributing to a more youthful and energetic presence. The positive impact on one’s overall appearance is a significant advantage of teeth whitening, often making you appear more approachable and vibrant.
The Anti-Aging Effect of a White Smile

The anti-aging effect of a white smile is a subtle yet powerful benefit. As we age, our teeth naturally tend to yellow and lose their brightness. Teeth whitening can reverse this process, making you look younger and more radiant. A bright smile creates a more youthful and vibrant appearance, which can be very impactful. This positive transformation can boost your confidence and overall well-being. The impact of a white smile goes beyond aesthetics. It can create a more positive first impression and make you feel more comfortable and self-assured. In North Las Vegas, where image consciousness is prevalent, this can be especially advantageous. By taking care of your smile, you invest in your overall appearance and enhance your sense of self. The effect of a white smile is remarkable, providing an instant and natural facelift. Therefore, teeth whitening can be a valuable addition to your beauty regimen, adding a more youthful glow.
How Whitening Makes You Look Younger
Whitening your teeth can make you look younger by creating an overall brighter and more vibrant appearance. Discolored teeth often make people look older, but a brilliant smile can have an immediate anti-aging effect. When your teeth are white, it draws attention to your face in a positive way, making you look healthier and more energetic. It’s a subtle but effective way to enhance your appearance and boost your self-esteem. In North Las Vegas, a younger appearance can be advantageous in social and professional settings. The visual impact of a white smile is immediate, providing a noticeable change in your overall look. It’s a quick and relatively easy procedure that can deliver remarkable results. As a result, teeth whitening provides a significant improvement in one’s overall appearance. The combination of improved self-confidence and a more youthful appearance leads to a positive impact on social interactions. Therefore, teeth whitening is an effective way to project a younger, more vibrant image.
Cost-Effective Cosmetic Dentistry
Teeth whitening is a cost-effective cosmetic dentistry option compared to other procedures such as veneers or crowns. The price of teeth whitening treatments is generally more accessible, making it a practical choice for those seeking to improve their smiles. Although the cost can vary depending on the method and the number of treatments needed, it is usually a more budget-friendly option. In North Las Vegas, many dental practices offer various payment plans and financing options. They ensure that teeth whitening is affordable and accessible to a broader audience. For those looking to enhance their appearance without a significant financial investment, teeth whitening presents a smart choice. It’s a less invasive procedure than some other cosmetic treatments, and it can yield impressive results. By choosing teeth whitening, you can achieve a brighter smile without breaking the bank. The value of this procedure is not just in its cost-effectiveness but also in the positive effects it has on your self-esteem.
Comparing Whitening Costs

When comparing whitening costs, it’s essential to consider various factors that affect the final price. Professional teeth whitening, conducted in a dental office, typically costs more than at-home kits. However, it often provides superior results due to the higher concentration of whitening agents and the expertise of a dental professional. At-home kits, available over the counter, are generally more affordable, but the results may vary and require more time to achieve. The price difference reflects the level of care, the strength of the products used, and the customized treatment provided by a dentist. In North Las Vegas, various dental practices offer different pricing models and payment options. It’s advisable to research and compare costs, considering the value and benefits of each option. Moreover, remember that the long-term cost of maintaining a brighter smile is essential. Routine dental check-ups and occasional touch-up treatments can help ensure lasting results. The cost comparison should be balanced with the value of the outcome, your specific needs, and your goals.
Affordable Options for Teeth Whitening
For those seeking affordable options for teeth whitening in North Las Vegas, several possibilities exist. Over-the-counter whitening products such as whitening strips, gels, and toothpastes are readily available at local pharmacies and online. Although these products may not yield the same results as professional treatments, they can still provide noticeable improvements at a lower cost. Another option is to consider at-home whitening kits prescribed by a dentist. These kits offer a balance between professional-grade results and affordability. Many dental practices also offer promotional pricing or payment plans to make treatments more accessible. It’s always wise to explore these possibilities and discuss your budget with your dentist. In North Las Vegas, many practices provide consultations where you can discuss your needs and find the most cost-effective solution. Affordable teeth whitening can significantly enhance your smile, increasing confidence and enhancing your overall well-being. Choosing the right solution depends on your budget, needs, and preferences, allowing you to achieve a brighter smile without excessive expense.
Professional vs. Over-the-Counter
Choosing between professional and over-the-counter teeth whitening depends on your specific needs, budget, and desired results. Professional teeth whitening, performed by a dentist, typically uses stronger whitening agents and provides faster, more dramatic results. The treatment is customized to your needs, ensuring a safe and effective process. A dentist can also address any underlying dental issues and provide personalized advice. Over-the-counter (OTC) options, such as whitening strips and gels, are more affordable and convenient. However, the results may vary, and it may take longer to see a significant improvement. OTC products are generally safe when used as directed, but they may not be suitable for everyone. For instance, professional whitening is the better choice for individuals with significant stains. In North Las Vegas, many dental offices offer consultations to discuss your options. The right choice depends on your preferences and goals. The guidance of a dentist will help you make an informed decision to achieve the best outcomes.
Benefits of Professional Teeth Whitening

Professional teeth whitening offers several significant advantages over over-the-counter options. Dentists use stronger whitening agents that produce more effective results in a shorter time. The procedure is performed under the supervision of a dental professional, ensuring safety and minimizing the risk of sensitivity or complications. Dentists can also assess your overall oral health and address any existing issues before whitening, such as cavities or gum disease. Professional treatments are customizable to your needs, delivering the best results while taking your unique dental profile into consideration. Moreover, professional whitening often includes additional procedures, like pre-treatment cleaning. This cleans your teeth and promotes better whitening results. In North Las Vegas, the advanced technology and expertise of dentists can deliver the most effective and long-lasting results. The confidence, health, and efficiency are all significant factors. The professional setting adds an extra level of safety and satisfaction. With professional treatments, you can achieve the radiant smile you’ve always desired.
The Effectiveness of At-Home Kits
At-home teeth whitening kits can be effective, but they generally require more time and commitment compared to professional treatments. The effectiveness of these kits depends on several factors, including the concentration of the whitening agent, the duration of use, and the severity of the stains. Many over-the-counter kits use lower concentrations of hydrogen peroxide or carbamide peroxide. So the results may take longer to manifest. It’s essential to follow the instructions carefully to ensure safety and effectiveness. Some at-home kits also offer custom-fit trays made by a dentist, which can improve results. These customized trays help to keep the whitening gel in contact with the teeth, maximizing its effectiveness. The results can vary based on the individual and the type of stains. So patience and consistency are key when using at-home kits. In North Las Vegas, dentists can offer guidance on at-home kits. Your dentist can help you choose the most suitable kit and offer advice to achieve your whitening goals. While these kits are less expensive than professional options, they can still offer noticeable improvements to the brightness of your smile.
