What is Zoom Whitening Reddit?
Zoom Whitening, often discussed on Reddit, is a popular in-office teeth whitening procedure. It’s a professional treatment designed to brighten your smile significantly in a relatively short amount of time. This method typically uses a high-concentration hydrogen peroxide gel applied to the teeth, which is then activated by a special blue LED light. The process aims to break down stains and discoloration that have accumulated on the enamel, resulting in a noticeably whiter smile. Reddit users often share their experiences, reviews, and ask questions about this popular dental procedure. The platform has become a valuable resource for those considering or researching Zoom Whitening, as users openly discuss their outcomes, potential side effects, and overall satisfaction with the treatment. The discussions often include before-and-after photos, cost comparisons, and recommendations for dental professionals who offer the service, giving prospective patients insights into the effectiveness and practical aspects of Zoom Whitening.
How Zoom Whitening Works
The science behind Zoom Whitening, as frequently mentioned on Reddit, involves a chemical reaction triggered by a specialized light. The hydrogen peroxide gel, the active ingredient, penetrates the enamel, the outer layer of your teeth, and breaks down stain molecules. The blue LED light emitted by the Zoom device acts as a catalyst, accelerating this process. The light’s specific wavelength enhances the gel’s whitening capabilities. This process is generally done in a dentist’s office under professional supervision to ensure the safe application and minimize potential sensitivity. Prior to the procedure, a dentist will typically clean your teeth and isolate your gums and soft tissues to protect them from the whitening agent. During the treatment, multiple applications of the gel may be done, each followed by exposure to the light, leading to a brighter smile. The entire process is usually completed in about an hour, providing immediate and dramatic results that are often discussed on Reddit threads.
The Zoom Whitening Procedure

The Zoom Whitening procedure, as frequently detailed in Reddit threads, is relatively straightforward. The first step usually involves a dental cleaning to remove plaque and debris from the teeth’s surface. Next, the dentist or dental hygienist will isolate your gums and lips using a protective barrier, ensuring that only the teeth are exposed to the whitening agent. The high-concentration hydrogen peroxide gel is then carefully applied to the surface of your teeth. After the gel is applied, a special blue LED light is directed onto your teeth. This light activates the whitening gel, helping to break down stains and discoloration. The gel is typically left on the teeth for a few minutes, and then the process is repeated multiple times. The entire procedure, from start to finish, usually takes about an hour. After the treatment, you’ll receive post-treatment instructions, which often include advice to avoid staining foods and drinks for a period of time to maximize the effects of the whitening.
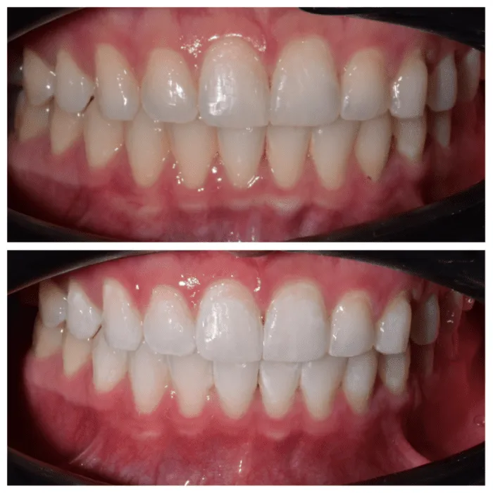
Reddit Users’ Experiences with Zoom Whitening
On Reddit, users openly share their personal experiences with Zoom Whitening, providing a diverse range of perspectives. Many users post before-and-after photos, showcasing the noticeable improvement in their smiles. Common topics include discussions on the level of whiteness achieved, the duration of the procedure, and the overall satisfaction with the results. Some users also discuss the sensitivity they experienced after the treatment, with some reporting mild to moderate discomfort. Others talk about the cost of the procedure and how it compared to other teeth whitening methods. There are also threads dedicated to finding reputable dentists, offering recommendations, and warning about potential issues or side effects. The interactive nature of Reddit allows users to ask questions, share advice, and get real-world insights from others who have undergone the procedure, making it an invaluable resource for anyone considering Zoom Whitening. The community aspect is particularly strong, as users often follow up on each other’s posts to provide updates and answer additional questions about their experiences, fostering a supportive environment for those seeking information.
Benefits of Zoom Whitening according to Reddit
According to Reddit discussions, the benefits of Zoom Whitening are numerous. The most frequently cited advantage is the immediate and dramatic whitening results. Many users express satisfaction with how quickly they achieve a brighter smile, often in a single office visit. Another benefit highlighted on Reddit is the long-lasting nature of the results, although the longevity can vary depending on individual habits like diet and oral hygiene. Many Redditors find that the procedure is relatively comfortable and well-tolerated, with any sensitivity being temporary. Some users specifically mention the convenience of Zoom Whitening compared to at-home alternatives, saving them time and effort. The confidence boost that comes from a whiter smile is a commonly mentioned perk, contributing to improved self-esteem. User experiences often emphasize the professional supervision and the assurance that the procedure is being performed by a qualified dentist, mitigating some of the risks associated with unsupervised whitening methods. The overall consensus from Reddit users often points to a positive experience, making Zoom Whitening a highly sought-after cosmetic dental procedure.
Potential Risks and Side Effects of Zoom Whitening

While Zoom Whitening is generally safe, Reddit users and dental professionals acknowledge potential risks and side effects. Tooth sensitivity is the most common side effect, with many users reporting increased sensitivity to hot and cold foods and drinks. This sensitivity is usually temporary and subsides within a few days. Gum irritation or inflammation is another potential side effect, as the whitening agent can sometimes come into contact with the gums, causing mild discomfort. In rare cases, some individuals may experience minor chemical burns on the gums. Another risk is the possibility of uneven whitening, particularly if you have fillings, crowns, or veneers, as these dental restorations won’t whiten in the same way as natural teeth. It’s important to discuss any pre-existing dental conditions or concerns with your dentist before undergoing the procedure. Reddit users often share tips on managing sensitivity, such as using desensitizing toothpaste before and after the treatment and avoiding extremely hot or cold foods for a few days. Proper consultation with a dentist and adherence to post-treatment instructions can minimize these risks.
Cost of Zoom Whitening in Reddit
The cost of Zoom Whitening is a frequently discussed topic on Reddit, with users often comparing prices and sharing their experiences with the financial aspect of the procedure. The cost can vary significantly depending on factors such as geographical location, the dentist’s fees, and the inclusion of any additional services. Many Redditors provide price ranges they encountered in their area, with some mentioning the availability of financing options or payment plans. Users often recommend shopping around and comparing prices among different dental practices. There are discussions about whether the investment is worth the cost, considering the potential benefits of a brighter smile and the long-term effects of the treatment. The presence of insurance coverage is another common point of discussion, with most cosmetic procedures like Zoom Whitening not being covered. The cost transparency offered by Reddit users helps others to set realistic expectations and make informed decisions based on their budgets. There are also conversations about the value of the procedure relative to the results achieved, and whether it is a worthwhile investment in self-esteem and oral health.
Alternative Teeth Whitening Methods Reddit
Reddit users often discuss alternative teeth whitening methods, comparing them to Zoom Whitening. At-home whitening kits, which use custom-fitted trays and a lower concentration of peroxide, are often mentioned as a more budget-friendly option. However, the results are typically less dramatic and take longer to achieve. Over-the-counter whitening strips and toothpastes are also discussed. While convenient and readily available, they often provide only minimal whitening and are not suitable for all types of stains. Some users also share their experiences with natural remedies, like activated charcoal and baking soda, but many dentists caution against these methods due to the potential for enamel damage. Professional teeth whitening methods, such as laser whitening or other in-office procedures, are sometimes compared in terms of effectiveness and cost. The discussions on Reddit help individuals to weigh the pros and cons of each method and determine the best approach based on their needs and budget. Users share their personal experiences with each method, providing valuable insights into their effectiveness, potential side effects, and overall satisfaction. The platform helps users explore all available options for a brighter smile.
Maintaining Your Zoom Whitening Results

Maintaining the results of your Zoom Whitening is a frequent topic of conversation on Reddit. Proper oral hygiene is essential, including regular brushing, flossing, and professional dental cleanings. Many users emphasize the importance of avoiding or limiting the consumption of staining foods and beverages, such as coffee, tea, red wine, and berries. Using a whitening toothpaste can help to maintain the brightness of your teeth, as it contains mild abrasives that remove surface stains. Some users also use at-home whitening touch-up treatments, such as whitening strips or trays, to prolong their results. Regular check-ups with your dentist are crucial for monitoring the health of your teeth and gums, and to address any potential issues that may affect the longevity of your whitening. Reddit users often share tips on stain removal, such as using a straw when drinking staining beverages to minimize contact with your teeth. Maintaining a healthy lifestyle, including avoiding smoking, can also contribute to the long-term success of your Zoom Whitening procedure. The overall consensus is that consistent care and attention are critical for keeping your smile bright.
Reddit Recommendations for Zoom Whitening
Reddit is a valuable source for recommendations and advice on Zoom Whitening, with users frequently sharing their positive experiences and suggestions. Users often recommend specific dental practices or dentists in their local areas, providing valuable insights into the quality of service and the overall satisfaction with the procedure. Recommendations are typically based on factors such as the dentist’s expertise, the cost of the procedure, and the level of customer service. Users also share tips on how to find a reputable dentist, such as looking for online reviews and checking credentials. Some Redditors recommend seeking out dentists who offer special promotions or discounts on Zoom Whitening. Discussions often cover the importance of a thorough consultation prior to the procedure to assess individual needs and expectations. The collective wisdom of the Reddit community provides prospective patients with valuable insights and helps them to make informed decisions when choosing a dental professional. Recommendations are often accompanied by before-and-after photos, further showcasing the quality of the results and helping to set realistic expectations for potential patients.
