The Brilliance of Poladay Teeth Whitening
Poladay teeth whitening has revolutionized the cosmetic dentistry field, offering a convenient and effective solution for those seeking a brighter, more confident smile. Unlike some other teeth whitening methods, Poladay is a professional-grade treatment designed to deliver noticeable results quickly and safely. The active ingredient, typically a concentration of hydrogen peroxide, penetrates the enamel to break down the staining compounds that have accumulated over time. This process effectively lifts stains caused by coffee, tea, tobacco, and other lifestyle factors, revealing a significantly whiter and more radiant smile. The ease of use and the ability to achieve professional results from the comfort of your own home have made Poladay a popular choice for individuals looking to enhance their appearance.
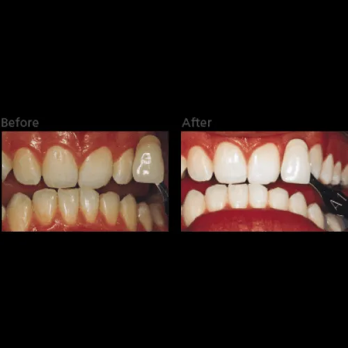
Enhanced Smile Aesthetics with Poladay
The most immediate and visible benefit of Poladay teeth whitening is a dramatic improvement in smile aesthetics. Stained or discolored teeth can make an individual feel self-conscious and impact their overall appearance. By effectively removing stains and brightening the enamel, Poladay can transform a dull smile into a vibrant, attractive one. This enhancement goes beyond mere aesthetics; it can boost self-esteem and have a positive effect on social interactions and professional opportunities. A brighter smile is often associated with youthfulness, health, and vitality, making Poladay an effective tool in achieving a more confident and approachable image. The results are often immediate, allowing individuals to see a noticeable difference after just a few applications.
Poladay’s Role in Boosting Confidence

A bright, white smile is often a key factor in overall confidence and self-perception. Poladay teeth whitening can play a significant role in boosting an individual’s self-esteem. When people feel good about their appearance, they are more likely to approach social situations with confidence, make a positive first impression, and engage more fully in both personal and professional interactions. The ability to smile freely without concern about stained or discolored teeth can be incredibly liberating. Poladay provides an accessible way to achieve a smile makeover, empowering individuals to feel more comfortable and self-assured in their daily lives. This boost in confidence can have a ripple effect, positively impacting various aspects of life.
Reduced Tooth Sensitivity
One of the significant advantages of Poladay teeth whitening is its formulation to minimize tooth sensitivity, a common concern with many whitening treatments. The Poladay system often includes desensitizing agents to help reduce any discomfort that may occur during the whitening process. These agents work by blocking the pathways that transmit pain signals from the teeth to the nerves. This makes the treatment more comfortable for the patient, allowing them to complete the course of whitening without significant interruptions. The inclusion of these desensitizing agents is a key factor in Poladay’s popularity, as it ensures that the process is both effective and tolerable, leading to greater patient satisfaction and compliance.
How Poladay Minimizes Discomfort
Poladay’s approach to minimizing discomfort involves several key strategies. First, the concentration of the whitening agent is carefully balanced to achieve optimal results while reducing the risk of sensitivity. Furthermore, the inclusion of desensitizing agents, such as potassium nitrate and fluoride, helps to soothe the nerve endings within the teeth, effectively blocking pain signals. Patients are often advised to use a toothpaste designed for sensitive teeth before and during the whitening process. These steps combined help create a more comfortable experience. By proactively addressing sensitivity concerns, Poladay aims to make teeth whitening a more accessible and pleasant experience for all users, leading to better adherence to the treatment and improved outcomes.
Factors Influencing Sensitivity

While Poladay is designed to minimize sensitivity, certain factors can influence how an individual experiences discomfort. Pre-existing sensitivity issues, thin enamel, or receding gums can increase the likelihood of experiencing sensitivity during teeth whitening. Excessive whitening or overuse of the product can also exacerbate sensitivity. Following the instructions carefully, using a toothpaste for sensitive teeth, and consulting with a dentist can help mitigate these risks. Patients should also be mindful of their diet during the whitening process, avoiding overly hot or cold foods and beverages that can trigger sensitivity. Understanding these factors enables individuals to take preventive measures to ensure the most comfortable whitening experience possible.
Long-lasting Whitening Results
Poladay teeth whitening offers results that can last for an extended period with proper care and maintenance. The longevity of the whitening effect varies depending on individual lifestyle factors, such as diet and oral hygiene habits. The initial whitening achieved through Poladay can be maintained for several months or even years with proper care. Regular dental check-ups, good oral hygiene, and occasional touch-up treatments can help preserve the brightness of the smile. Understanding how to maintain the results is crucial for maximizing the benefits of the treatment. This includes avoiding or minimizing the consumption of staining foods and beverages, such as coffee, tea, and red wine, and adhering to a consistent oral hygiene routine.
Maintaining Your Radiant Smile
Maintaining the results of Poladay teeth whitening requires a proactive approach to oral care. Regular brushing with a whitening toothpaste, flossing daily, and using mouthwash can help prevent staining and keep teeth looking their best. Scheduling professional dental cleanings every six months is also essential to remove surface stains and maintain overall oral health. Avoiding tobacco products and limiting the consumption of staining foods and beverages are also crucial steps. For touch-ups, your dentist may provide custom-made trays or recommend over-the-counter whitening products designed to maintain the brightness of your smile.
Practical Tips for Extended Whitening

To maximize the longevity of your Poladay teeth whitening results, consider these practical tips. Rinse your mouth with water after consuming staining foods or beverages. Use a straw when drinking beverages that can stain teeth, such as coffee or tea. Maintain a balanced diet and limit your intake of sugary snacks and drinks. Visit your dentist regularly for check-ups and cleanings. Consider using a whitening toothpaste or mouthwash to help maintain the brightness of your smile. By following these simple tips, you can enjoy the benefits of your Poladay whitening treatment for a more extended period, preserving a bright and healthy smile.
Convenience and Ease of Use
Poladay teeth whitening is known for its convenience and ease of use, making it a popular choice for individuals looking to whiten their teeth. The system typically involves custom-fitted trays, designed to fit perfectly over your teeth. The whitening gel is applied to these trays, and then the trays are worn for a specified amount of time each day or night, as prescribed by your dentist. This at-home application allows for flexibility and convenience, fitting seamlessly into your daily routine. The ease of use contributes to higher patient compliance, as the treatment can be incorporated into your lifestyle without significant disruption. With Poladay, you can achieve professional results from the comfort of your own home, saving time and effort.
Simplified Whitening Process
The simplified process of Poladay teeth whitening is one of its most appealing aspects. After an initial consultation with a dentist, custom-fitted trays are usually provided. The patient then applies the whitening gel to the trays and inserts them into their mouth for the recommended duration, as advised by the dentist. This process is typically repeated daily for a few weeks, allowing for gradual and noticeable whitening. The ease of use and straightforward nature of the application process mean that patients can readily incorporate the treatment into their daily lives without any significant inconvenience. The clear instructions and simple steps involved contribute to a positive experience and ensure that patients achieve the desired results effectively.
Incorporating Poladay into Your Routine

Incorporating Poladay teeth whitening into your daily routine is simple and requires minimal adjustments to your lifestyle. The most common approach involves applying the whitening gel to the custom-fitted trays before bedtime and wearing them overnight. This allows the treatment to work while you sleep, saving you time during the day. Alternatively, the trays can be worn during the day for a shorter duration. It’s important to establish a consistent schedule and follow the dentist’s instructions closely to achieve the best results. This integration of the whitening process into your regular habits allows for a seamless experience, maximizing the benefits without major disruptions. Regular brushing, flossing, and dental check-ups should continue as part of your normal oral hygiene routine to support the whitening treatment.
Cost-Effectiveness of Poladay
Compared to other teeth whitening options, Poladay can be a cost-effective solution for achieving a brighter smile. The initial investment in the custom trays and whitening gel is often more affordable than in-office whitening treatments, which can involve higher fees. The fact that the treatment is carried out at home eliminates the need for frequent dental visits, further reducing costs. The long-lasting results of Poladay mean that you can maintain your brighter smile for an extended period, which translates to better value over time. While the exact cost will vary depending on the dentist and the specific products used, Poladay frequently offers a balance between effectiveness and affordability, making it an accessible option for many individuals.
Comparing Poladay with Other Options
When comparing Poladay teeth whitening with other options, consider factors such as cost, convenience, and the expected results. In-office whitening treatments offer immediate results but can be more expensive and less flexible in terms of scheduling. Over-the-counter whitening strips and toothpastes are often more affordable but may deliver less dramatic results and take longer to achieve the desired effect. Poladay strikes a good balance by providing professional-grade results at a more manageable cost, with the convenience of at-home application. Its custom-fitted trays also ensure better contact with the teeth, which can improve effectiveness compared to generic products. The ability to personalize the treatment according to individual needs makes Poladay a versatile and highly effective choice in the realm of teeth whitening.
