Understanding Lumibrite Teeth Whitening
Lumibrite teeth whitening has become a popular choice for those seeking a brighter, more confident smile. This guide will delve into everything you need to know about achieving optimal results with Lumibrite products. From understanding how these products work to detailed instructions on how to use them, we’ll cover all aspects of the process. We’ll explore the science behind teeth whitening, the different Lumibrite products available, and the steps you need to take to achieve a dazzling smile. This guide is designed to provide you with the knowledge and confidence to make informed decisions about your teeth whitening journey, ensuring you achieve the best possible results safely and effectively. Remember, a bright smile is a valuable asset, and with Lumibrite, you can take the first step towards achieving it.
How Lumibrite Works
Lumibrite products work by utilizing active ingredients, typically hydrogen peroxide or carbamide peroxide, to penetrate the enamel and break down the stains and discoloration that accumulate over time. These active ingredients release oxygen molecules, which react with the stain molecules, breaking them down into smaller, less visible particles. This process effectively lifts the stains from the teeth, resulting in a noticeably whiter smile. The concentration of the active ingredient varies depending on the product and its intended use, with higher concentrations often leading to faster results but also potentially increasing the risk of sensitivity. It’s essential to follow the instructions provided with each Lumibrite product to ensure effective whitening while minimizing any potential side effects.
The Science Behind Whitening

The science behind teeth whitening revolves around the chemical reaction that occurs when the active ingredients in whitening products interact with the stains on your teeth. The enamel of your teeth is porous, and over time, stains from food, drinks, and tobacco products seep into these pores, causing discoloration. Whitening agents like hydrogen peroxide act as oxidizing agents, releasing oxygen molecules that penetrate the enamel and break down the stain molecules. This process doesn’t damage the tooth structure itself; instead, it alters the structure of the stain, making it less visible and creating a brighter, whiter appearance. The effectiveness of the whitening process depends on factors like the concentration of the active ingredient, the duration of application, and the type and severity of the stains.
Types of Lumibrite Products
Lumibrite offers a range of products designed to cater to different preferences and needs. Each product utilizes the same core whitening principles, but the delivery method and application vary. Whether you’re looking for convenience, ease of use, or a more targeted approach, there is likely a Lumibrite product that’s right for you. The most popular products include whitening strips, whitening gel used with custom or generic trays, and whitening toothpaste. Understanding the differences between these products can help you choose the best option for your desired results and lifestyle. Always read the product instructions carefully before use and consult with your dentist if you have any concerns or questions.
Lumibrite Whitening Strips
Lumibrite whitening strips are a convenient and easy-to-use option for teeth whitening. These thin, flexible strips are pre-coated with a whitening gel containing hydrogen peroxide. They are designed to be applied directly to your teeth, adhering to the surface and delivering the whitening agent directly to the enamel. The strips typically conform to the shape of your teeth, ensuring even coverage and allowing for comfortable wear. The ease of use makes them a popular choice for those with busy lifestyles, as the application takes only a few minutes, and you can continue with your daily activities while the strips work their magic. The effectiveness of whitening strips can vary depending on the concentration of the whitening agent and the duration of use. Always follow the instructions on the package for optimal results.
Lumibrite Whitening Gel

Lumibrite whitening gel is a versatile option often used with custom or generic trays. The gel is typically applied to the tray, which is then placed over the teeth, ensuring that the whitening agent comes into direct contact with the tooth surface. This method allows for more precise application and can be particularly effective for reaching hard-to-whiten areas. The concentration of the whitening agent in the gel can vary, allowing you to choose a strength that suits your needs and sensitivity level. Using a tray can provide a more consistent application and potentially yield more dramatic results compared to strips, but it also requires a bit more preparation and time. Whitening gel offers a customizable approach to teeth whitening, making it a suitable choice for various individuals.
Lumibrite Whitening Toothpaste
Lumibrite whitening toothpaste provides a gentler approach to teeth whitening. These toothpastes typically contain mild abrasives and whitening agents that help remove surface stains and polish the teeth. While they might not provide the dramatic results of strips or gel, they can be a good option for maintaining the results of professional treatments or for those seeking a subtle whitening effect. Using whitening toothpaste can also help prevent new stains from forming, and they are easy to incorporate into your daily oral hygiene routine. However, it’s important to note that whitening toothpastes are generally less effective than other methods. Consistent use over time can lead to noticeable improvement in teeth brightness, and they are often a good choice for those with sensitive teeth.
Preparing for Lumibrite Treatment
Before beginning any Lumibrite teeth whitening treatment, it’s crucial to prepare properly to ensure the best possible results and minimize potential side effects. This preparation involves consulting your dentist and, in some cases, taking pre-treatment photos to track your progress. Proper preparation sets the stage for a successful and satisfying teeth whitening experience. Your dentist can assess your oral health, identify any underlying issues, and recommend the most appropriate Lumibrite product for your specific needs. Taking photos before starting allows you to visually monitor the whitening process and compare your smile throughout the treatment. Following these steps will help you achieve the desired results and maintain a healthy, radiant smile.
Consulting Your Dentist

Consulting your dentist before starting any teeth whitening treatment is highly recommended. Your dentist can assess the overall health of your teeth and gums and determine if whitening is a suitable option for you. They can identify any existing dental issues, such as cavities or gum disease, that need to be addressed before whitening. Your dentist can also recommend the most appropriate Lumibrite product based on your oral health and desired results. They can provide professional advice on how to use the product and what to expect during and after the treatment. Consulting your dentist is essential for ensuring a safe and effective teeth whitening experience, and it can also help you avoid any potential complications.
Taking Before-and-After Photos
Taking before-and-after photos is a great way to track the progress of your Lumibrite teeth whitening treatment. These photos serve as a visual record of your journey and allow you to compare your smile before and after the treatment. Make sure to take photos under similar lighting conditions to get the most accurate comparison. Take pictures of your teeth with a neutral expression, ensuring that your entire smile is visible. Having these photos can motivate you throughout the whitening process, as you’ll be able to see the changes in your teeth’s brightness. After the treatment, comparing the before-and-after photos can provide a sense of accomplishment and help you appreciate the results of your efforts. These pictures will serve as a testament to the effectiveness of Lumibrite.
Detailed Step-by-Step Instructions
Following the step-by-step instructions for Lumibrite teeth whitening is crucial for achieving the desired results and minimizing the risk of side effects. This section provides detailed instructions on how to apply whitening strips, use whitening gel, and brush with whitening toothpaste. Each product has specific guidelines, so it’s essential to read and understand the instructions provided with the product. Proper application ensures that the whitening agent effectively reaches the teeth and breaks down the stains. Following the recommended time frames and application methods will maximize your chances of achieving a brighter, whiter smile. If you have any questions or concerns, consult your dentist or the product’s instructions before starting the treatment.
Applying Whitening Strips

Applying Lumibrite whitening strips is straightforward. First, gently peel the strip from its backing. Apply the sticky side of the strip to your teeth, making sure to align it with the gum line. Press the strip firmly to ensure it adheres to the surface of your teeth. Fold any excess strip material behind your teeth. Follow the instructions provided with the product for the recommended wear time, which typically ranges from 30 minutes to an hour. After the designated time, remove the strips and dispose of them properly. Rinse your mouth with water to remove any remaining gel. Consistent use as directed will help you achieve noticeable whitening results.
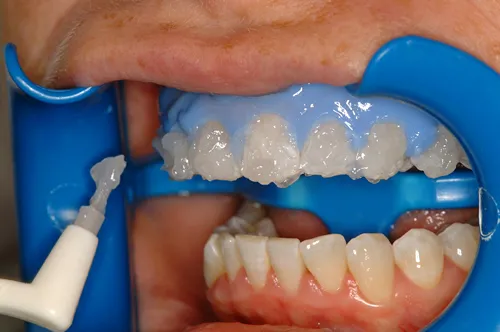
Using Whitening Gel with a Tray
Using Lumibrite whitening gel with a tray requires a few extra steps, but it can provide more targeted and effective whitening. First, brush and floss your teeth to remove any plaque or debris. Apply a small amount of whitening gel to the tray, making sure to evenly distribute it. Carefully insert the tray into your mouth, ensuring that the gel comes into contact with the surface of your teeth. Follow the instructions for the recommended wear time, which can vary depending on the concentration of the gel. After the designated time, remove the tray and rinse your mouth thoroughly. Clean the tray to remove any remaining gel. This method offers a customizable approach to teeth whitening, allowing you to achieve specific results.
Brushing with Whitening Toothpaste
Brushing with Lumibrite whitening toothpaste is easy to incorporate into your daily routine. Apply a pea-sized amount of toothpaste to your toothbrush and brush your teeth thoroughly for two minutes, ensuring that you reach all surfaces of your teeth. Rinse your mouth with water after brushing. Use the toothpaste as directed on the product label. For best results, brush your teeth twice a day. Regular use of whitening toothpaste can help remove surface stains and maintain the brightness of your teeth. Remember that it may take some time to see significant changes, so be patient and consistent with your oral hygiene routine.
Aftercare Tips

Proper aftercare is crucial for maintaining your white smile after Lumibrite teeth whitening. This includes avoiding staining foods and drinks and establishing a consistent oral hygiene routine. Following these tips can extend the longevity of your whitening results and prevent new stains from forming. Taking care of your teeth will keep your smile healthy and bright. Remember that maintaining a healthy diet and oral hygiene practice is a continuous process.
Avoiding Staining Foods and Drinks
Avoiding staining foods and drinks is essential to protect the results of your Lumibrite teeth whitening treatment. Certain foods and beverages contain pigments that can stain your teeth, such as coffee, tea, red wine, dark sodas, and berries. After whitening, your teeth are more susceptible to staining. Consider limiting your consumption of these items, especially during the first few weeks after treatment. If you do consume staining foods or drinks, try to drink water afterward to help rinse away any potential stains. Regular brushing and flossing can also help prevent stains. Making smart choices about what you consume will help maintain the brightness of your smile.
Maintaining Your White Smile
Maintaining your white smile involves a combination of good oral hygiene practices and regular dental check-ups. Brush your teeth twice a day for two minutes each time, and floss daily to remove plaque and debris. Use a whitening toothpaste to help remove surface stains. Schedule regular dental cleanings and check-ups with your dentist. Your dentist can professionally clean your teeth and address any potential issues before they affect your smile. Avoiding staining foods and drinks, or consuming them in moderation, can also help keep your teeth bright. By following these steps, you can keep your teeth white and your smile radiant for an extended period.
Potential Side Effects

While Lumibrite teeth whitening is generally safe, some potential side effects can occur. These side effects are usually mild and temporary, but understanding them can help you prepare and manage them effectively. The most common side effects include tooth sensitivity and gum irritation. However, these effects typically subside shortly after you stop using the product. If you experience any severe or persistent side effects, consult your dentist. Awareness of potential side effects can help you make informed decisions about your teeth whitening journey.
Sensitivity and How to Manage It
Tooth sensitivity is a common side effect of teeth whitening. The active ingredients in Lumibrite products can temporarily make your teeth more sensitive to temperature changes. To manage sensitivity, try using a toothpaste specifically designed for sensitive teeth before, during, and after your treatment. Avoid extremely hot or cold foods and drinks. You can also take breaks from the whitening treatment if the sensitivity becomes too uncomfortable. Consult with your dentist if the sensitivity persists or becomes severe, as they might recommend a fluoride treatment to strengthen your enamel. Proper management of sensitivity allows you to continue your whitening treatment comfortably.
Gum Irritation
Gum irritation is another potential side effect of teeth whitening. This can occur if the whitening gel comes into contact with your gums. To minimize gum irritation, carefully apply the whitening product, making sure it only touches your teeth. If using a tray, ensure it fits properly to prevent the gel from leaking onto your gums. Use a cotton swab to remove any excess gel. If you experience gum irritation, rinse your mouth with water and avoid using the product until your gums have healed. Consult your dentist if the irritation persists or becomes severe. Careful application and following product instructions will help you minimize the risk of gum irritation.
Pros and Cons of Lumibrite

Understanding the pros and cons of Lumibrite teeth whitening can help you make an informed decision about whether it’s the right option for you. Knowing the advantages and disadvantages allows you to weigh the benefits against potential drawbacks, helping you set realistic expectations and choose the best treatment plan. Consider your individual needs, preferences, and oral health before starting any whitening treatment. A well-informed decision ensures a satisfying and successful teeth whitening experience.
The Advantages
Lumibrite offers several advantages, including the ability to achieve a brighter, more confident smile. The products are generally easy to use, with options like strips and whitening toothpaste integrating seamlessly into your daily routine. Lumibrite products are often a cost-effective alternative to professional whitening treatments. You can get significant results in the comfort of your own home. Moreover, Lumibrite provides a range of options, including strips, gels, and toothpastes, allowing you to customize your whitening experience. The ability to achieve a brighter smile can have a positive impact on your self-esteem and confidence.
The Disadvantages
Some potential disadvantages of Lumibrite teeth whitening include the possibility of experiencing tooth sensitivity or gum irritation. The results may not be as dramatic or long-lasting as professional treatments. In some cases, the whitening process may not be effective for certain types of stains or discoloration. Furthermore, it requires commitment and consistency to follow the instructions carefully. The product may not be suitable for everyone, such as individuals with certain dental conditions or those who are pregnant or breastfeeding. Be sure to weigh these potential disadvantages before starting your teeth whitening journey.
